Стоматолог Латыпова Ирина Александровна — цены, отзывы, стаж — Принимает в Казани

Латыпова Ирина Александровна

Латыпова Ирина Александровна - фотография
стоматолог-ортодонт
Стаж 4 года
Латыпова Ирина Александровна принимает в «Стоматологическая клиника ПРИЗМАТИКА» в Казани. Стаж 4 года. Специализируется на ортодонтии, по которой клиника оказывает 12 услуг. Для уточнения дополнительной информации о специалисте или записи на прием можно позвонить по телефону
+7 (843)Показать телефон
. Также 32top представляет форму онлайн расписания, через которую можно записаться к специалисту на свободную дату и время.

Где принимает:

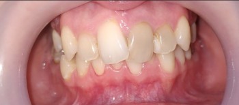
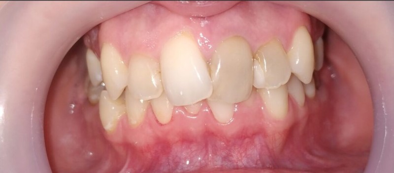
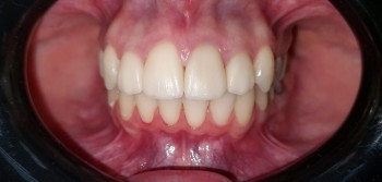
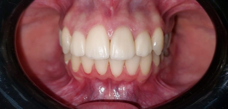
1 работа в портфолио
Опыт 4 года
    Помогите другим сделать правильный выбор — оставьте свой отзыв о докторе
    Написать отзыв

    Услуги врача (19)

    Ортодонтия
    Установка брекетов
    от 40 000 ₽ за 1 челюсть
    Снятие брекетов
    от 2 000 ₽ за 1 челюсть
    Установка элайнеров
    от 280 000 ₽ до 380 000 ₽ за обе челюсти
    Еще услуги
    Все цены носят ознакомительный характер. Точную цену вы сможете получить только после консультации специалиста.
    Звоните по телефону:
    +7 (843)Показать телефон

    Латыпова Ирина Александровна: портфолио (1)

    Акции и скидки клиники ПРИЗМАТИКА (1)