Стоматолог Джумаев Джумабой Махмадкаримович — цены, отзывы, стаж — Принимает в Казани

Джумаев Джумабой Махмадкаримович

Джумаев Джумабой Махмадкаримович - фотография
стоматолог-терапевт
стоматолог-хирург
Стаж 3 года
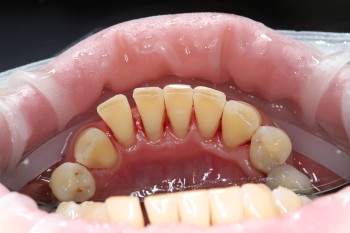
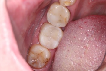
Джумаев Джумабой Махмадкаримович принимает в «Стоматологическая клиника АЛДЕНТ» в Казани. Стаж 3 года. Специализируется на терапии и хирургии, по которым клиника оказывает 26 услуг. Имеет 4 работы до/после в портфолио. Для уточнения дополнительной информации о специалисте или записи на прием можно позвонить по телефону
+7 (8432)Показать телефон
.

Где принимает:

Опыт 3 года
4 работы в портфолио
    Помогите другим сделать правильный выбор — оставьте свой отзыв о докторе
    Написать отзыв

    Джумаев Джумабой Махмадкаримович: портфолио (4)

    Акции и скидки клиники АЛДЕНТ (4)

    Услуги стоматолога в других клиниках

    Терапевтическая стоматология
    Лечение кариеса от 3 500 ₽ до 14 000 ₽
    Лечение пульпита от 5 000 ₽ до 35 000 ₽
    Еще услуги
    Хирургическая стоматология
    Удаление зубов от 1 100 ₽ до 20 000 ₽
    Удаление кисты и гранулемы зуба от 600 ₽ до 25 000 ₽
    Еще услуги