Стоматолог Борисюк Роман Викторович — цены, отзывы, стаж — Принимает в Казани

Борисюк Роман Викторович

Борисюк Роман Викторович - фотография
стоматолог-хирург
стоматолог-имплантолог
Стаж 21 год
Борисюк Роман Викторович принимает в «Стоматологическая клиника ФУТУРА ДЕНТАЛ» в Казани. К.м.н., стаж 21 год. Специализируется на хирургии и имплантологии, по которым клиника оказывает 14 услуг. Имеет 5 работ до/после в портфолио. Квалификация специалиста подтверждена 34 лицензиями, сертификатами и наградами. Также 32top представляет форму онлайн расписания, через которую можно записаться к специалисту на свободную дату и время.

Где принимает:

34 сертификата
Опыт 21 год
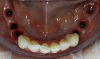
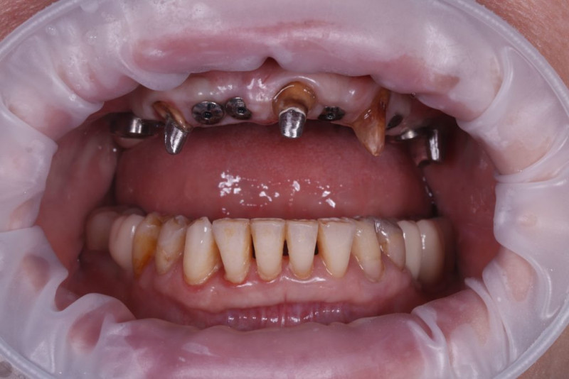
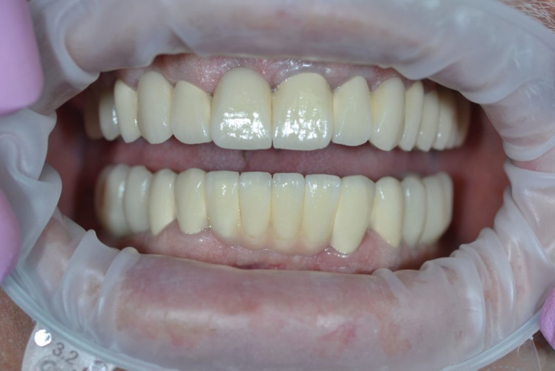
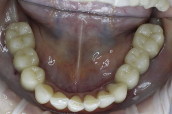
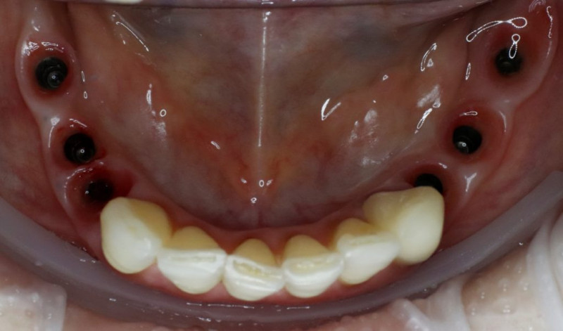
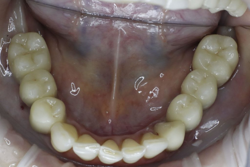
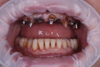
5 работ в портфолио
Кандидат мед.наук

Борисюк Роман Викторович: портфолио (5)

Отзывы о враче Борисюк Роман Викторович

Почему нашим отзывам можно доверять?
После приема Пациент записывался в клинику через 32top. После приёма мы позвонили ему и получили отзыв.
19 мая 2021 г.
1 2 3 4 5
Клиника 21 век просто замечательная! Опытные специалисты, внимательное отношение к пациентам, профессионализм. Проходила лечение у Сафина Ранаса (он так же является главврачом клиники) и у Романа Викторовича удаление. Внимательные специалисты, качественно выполняют свою работу! Об этой клинике знаю так сказать по "сарафанному радио". У нас вся семья теперь здесь лечится. Цены в клинике адекватные, цена соответствует качеству.
Борисюк Роман Викторович
19 января 2023 г.
Благодарим Вас за доверие, обратную связь и выбор наших специалистов! Приглашаем на плановый профессиональный осмотр к стоматологу-терапевту
    Помогите другим сделать правильный выбор — оставьте свой отзыв о докторе
    Написать отзыв

    Услуги стоматолога в других клиниках

    Хирургическая стоматология
    Удаление зубов от 1 100 ₽ до 20 000 ₽
    Удаление кисты и гранулемы зуба от 600 ₽ до 25 000 ₽
    Еще услуги
    Имплантация
    Установка мини-импланта от 10 000 ₽ до 26 700 ₽
    Методы имплантации
    Еще услуги