Стоматолог Сагадеева Альбина Наилевна — цены, отзывы, стаж — Принимает в Казани

Сагадеева Альбина Наилевна

Сагадеева Альбина Наилевна - фотография

5.0
Рейтинг: 5.0
Отзывов: 8
Положительных: 8
Отрицательных: 0
Последний : 50 дн. назад
8 отзывов
2 место в рейтинге
стоматолог-ортодонт
Стаж 11 лет
Сагадеева Альбина Наилевна принимает в «СОЦИАЛЬНАЯ СТОМАТОЛОГИЯ» в Казани. Стаж 11 лет. Специализируется на ортодонтии, по которой клиника оказывает 9 услуг. Имеет 4 работы до/после в портфолио. Квалификация специалиста подтверждена 3 лицензиями, сертификатами и наградами. Для уточнения дополнительной информации о специалисте или записи на прием можно позвонить по телефону
+7 (8432)Показать телефон
. Занимает 1 место в рейтинге стоматологов-ортодонтов 32top в вашем городе.

Где принимает:

3 сертификата
Опыт 11 лет
4 работы в портфолио
2 место в рейтинге

Отзывы о враче Сагадеева Альбина Наилевна

Рейтинг: 5
Отзывов: 8
Положительных: 8
Отрицательных: 0
Последний: 50 дн. назад
5.0
Почему нашим отзывам можно доверять?
После приема Пациент записывался в клинику через 32top. После приёма мы позвонили ему и получили отзыв.
2 апреля 2026 г.
1 2 3 4 5
Буду ставить брекет систему у врача ортодонта Альбины Наилевны. Была у нее на консультации, осталась очень довольна, врач опытная, рассказала, как будет проходить лечение, какой будет результат, какая стоимость. Меня все устроило, цена адекватная, клиника и оборудование современное.
25 июля 2020 г.
1 2 3 4 5
Дочери (15 лет почти) сняли брекеты перед НГ - отходила 2,5 года! Уф, самой не верится... Помню, что болела челюсть несколько дней, но терпимо. Потом сроднилась с ними). Зубки теперь - солдатики. А вот 8 на нч не стали удалять(( По причине учебы, не может она пропускать. Перенесли на лето этот вопрос. ортодонт наша сказала, что пока нет корней, эта процедура гораздо легче переносится, хотя они у нее лежат горизонтально Большое спасибо нашему ортодонту Сагадеевой Альбине Наилевне!
22 июля 2020 г.
1 2 3 4 5
Решились мы на установку брекетов в каникулы. в первый день установки брекетов давали обезболивающее, потом несколько дней была терпимая боль, обходились без таблеток (у меня двое подростков с брекетами). Нижние восьмерки также удаляли. Это операция, дают больничный от 3 дней до недели, в первые 2-3 дня щека не много опухает и боль ощутимая (врач выписывала кетанов, полоскания), в школу во благо не надо, окончательно восстановились через неделю. Второй зуб удадяют не раньше, чем через недели две. Хирург Хамитова Альбина у нас была нам понравился врач,врач ортодонт Сагадеева Альбина Наилевна тоже компетентный врач занимается подростками как раз.
28 февраля 2020 г.
1 2 3 4 5
Установили брекеты у Альбины Наилевны, хороший ортодонт. Все объяснила на консультации , очень много учится и много знает . Хорошо что берет Сложные случаи , как раз как у нас. Надеемся что она нам поможет.
27 ноября 2019 г.
1 2 3 4 5
Всегда считала, что с прикусом у меня все нормально, разве что центральный зуб немного был развернут относительно всего ряда. Особо по этому поводу я не комплексовала, но все-таки записалась на прием к врачу-ортодонту Сагадеевой Альбине Наилевне . Выяснилось, что из-за этого зуба у меня и прикус несколько смещен. Альбина Наилевна предложила мне исправление прикуса элайнерами STAR SMILE. Мне очень понравилась эта система прежде всего тем, что когда носишь каппы, их совершенно не видно и они не влияют на дикцию. Буквально за десять месяцев развернутый зуб стал в необходимое положение, а прикус исправился. Очень довольна результатами и рекомендую всем сомневающимся.
27 августа 2019 г.
1 2 3 4 5
После тщательного подбора детского стоматолога (отзывы, советы знакомых) решили обратиться к Сагадеевой А.Н. Лечили кариес 2зубов дочке (4,5года). Врач просто умница, легко нашла общий язык с моим очень недоверчивым ребенком... Огромное родителькое спасибо за доброту и здоровые зубки.
24 августа 2019 г.
1 2 3 4 5
пришли по акции в фэмили дент на декабристов, очень хорошо проверили консультацию, отправили на снимок какой то большой, тут же пришли принесли посмотрела врач, и мы заключили договор. На любой мой вопрос врач знала ответ))) как будто подготавливалась, приятно когда имеешь дело с профессионалами и хорошими людьми. Клиника чистенькая и очень уютно. от остановки недалеко тоже огромный плюс.
23 августа 2019 г.
1 2 3 4 5
Пол года назад у сына выпали молочные передние зубы и на их месте вылезли кривые, мы обратились в стоматологию ФЭМИЛИ ДЕНТ, нас направили к детскому ортодонту Альбине Наилевне. Оказалось, что в нашем случае помимо искревления зубов у нас еще и неправильный прикус... Решили установить ортодонтическую пластинку, через 4 месяца и мы и ортодонт отметили хорошие результаты. Но мы еще будем её носить , до полного восстановления прикуса... Спасибо доктору за верное выбранное решение и доброе отношение к детям)))
    Помогите другим сделать правильный выбор — оставьте свой отзыв о докторе
    Написать отзыв

    Услуги врача (14)

    Ортодонтия
    Установка брекетов
    от 39 900 ₽ до 88 200 ₽ за 1 челюсть
    Снятие брекетов
    от 5 200 ₽ за 1 челюсть
    Установка элайнеров
    Еще услуги
    Детская стоматология
    Установка брекетов детям
    Все цены носят ознакомительный характер. Точную цену вы сможете получить только после консультации специалиста.
    Звоните по телефону:
    +7 (8432)Показать телефон

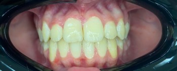
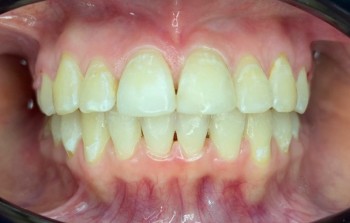
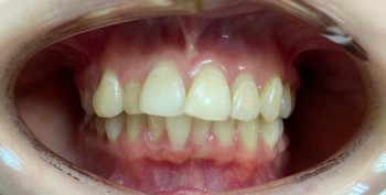
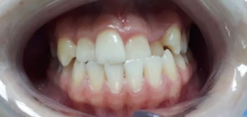
    Сагадеева Альбина Наилевна: портфолио (4)