Стоматолог Бурмистров Константин Андреевич — цены, отзывы, стаж — Принимает в Казани

Бурмистров Константин Андреевич

Бурмистров Константин Андреевич - фотография

5.0
Рейтинг: 5.0
Отзывов: 4
Положительных: 4
Отрицательных: 0
Последний : 2144 дн. назад
4 отзыва
стоматолог-хирург
стоматолог-имплантолог
Стаж 14 лет
Бурмистров Константин Андреевич принимает в «Стоматологическая клиника МИЛЛИДЕНТ» в Казани. Стаж 14 лет. Специализируется на хирургии и имплантологии, по которым клиника оказывает 8 услуг. Имеет 4 работы до/после в портфолио. Квалификация специалиста подтверждена 7 лицензиями, сертификатами и наградами. Для уточнения дополнительной информации о специалисте или записи на прием можно позвонить по телефону
+7 (927)Показать телефон
. Также 32top представляет форму онлайн расписания, через которую можно записаться к специалисту на свободную дату и время.

Где принимает:

7 сертификатов
4 работы в портфолио
Опыт 14 лет

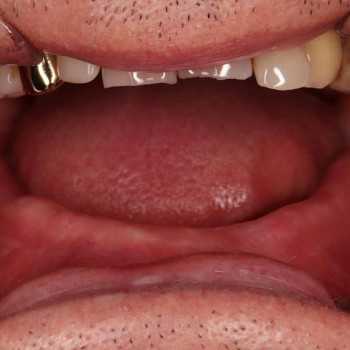
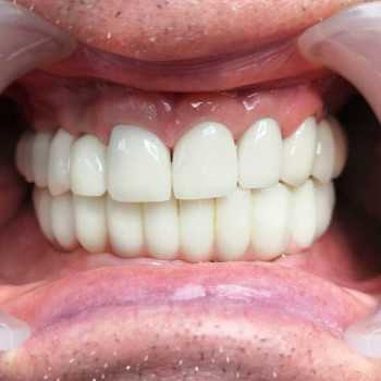
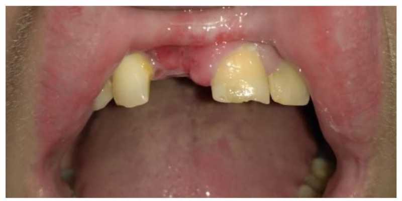
Бурмистров Константин Андреевич: портфолио (4)

Отзывы о враче Бурмистров Константин Андреевич

Рейтинг: 5
Отзывов: 4
Положительных: 4
Отрицательных: 0
Последний: 2144 дн. назад
5.0
Почему нашим отзывам можно доверять?
6 июля 2020 г.
1 2 3 4 5
После посещения клиники Миллидент на Абжалилова остались исключительно положительные впечатления. Понравилось все, начиная от атмосферы клиники до манеры общения докторов и их высокого профессионализма. Сразу видно, что врачи работают не на скорость как в поликлиниках, а на результат. У меня было 4 зуба под удаление. У хирурга Константина Андреевича золотые руки. Удалили за 2 посещения. Все прошло легче чем я ожидала. Уже уставновили один имплант из трех. Рекомендую клинику. Их уровень, действительно, высокий.
Сеть стоматологических клиник Миллидент
7 июля 2020 г.
Салима, от всей души благодарим Вас за теплые слова в адрес нашего ведущего стоматолога-хирурга, имплантолога Бурмистрова Константина Андреевича и клиники Миллидент. Искренне рады, что Вам у нас понравилось. Благодарим за рекомендации и ждем Вас на запланированные процедуры.
2 июля 2020 г.
1 2 3 4 5
Клиника Миллидент современная, очень красивая. Вежливый персонал и хорошо консультируют врачи. Лечение не оказалось таким страшным, все понравилось! Отдельное спасибо Бурмистрову К.А. за возможность нормально улыбаться. И всему коллективу также большое спасибо!
Сеть стоматологических клиник Миллидент
3 июля 2020 г.
Ойгуль, спасибо за такие приятные слова в адрес специалистов клиники Миллидент. Мы искренне рады, что Вы остались довольны лечением, проведенным в нашей клинике. С большим удовольствием передадим Ваши слова благодарности каждому сотруднику. Благодарим Вас за оказанное доверие!
16 июня 2020 г.
1 2 3 4 5
Хочу выразить благодарность коллективу клиники. Обратилась сюда по рекомендации сестры. В клинике очень чисто и красиво, приятная атмосфера, администратор Юлия очень приятная девушка! Записалась к хирургу Бурмисторову Константину Андреевичу, человеку с золотыми руками. Я очень переживала, но он меня успокоил, все мне объяснил. Спасибо ему за мудрость и профессионализм! Установка моих имплантов прошла легко и безболезненно! Через несколько месяцев приду сюда на протезирование. Теперь только сюда! Еще раз спасибо Вам огромное за вашу заботу о нас!
Сеть стоматологических клиник Миллидент
17 июня 2020 г.
Дания, благодарим Вас за такие теплые слова в адрес нашего замечательного хирурга-имплантолога Бурмистрова Константина Андреевича и клиники в целом. Прикладываем максимум усилий, чтобы нашим дорогим пациентам было максимально комфортно у нас в клинике. Искренне рады, что процедура имплантации прошла для вас комфортно! Ждем Вас на профилактические осмотры!
13 января 2020 г.
1 2 3 4 5
Прохожу лечение у хирурга Константина Андреевича Бурмистрова. Делает мне полное восстановление зубов. Хороший профессионал, знаком с ним уже давно. Жена тоже делала себе два зуба на имланте. Врач, о котором можно писать только хорошее. Чуткий и внимательный. С чувством юмора, раньше не писал отзывы. Но просто хочется порекомендовать специалиста с больгой буквы. Спасибо за качественный подход к делу, от души
Сеть стоматологических клиник Миллидент
15 января 2020 г.
Артем, благодарим за теплые слова в адрес нашего ведущего хирурга Бурмистрова Константина Андреевича. С радостью передам ему Ваш слова благодарности. Спасибо за рекомендации!
    Помогите другим сделать правильный выбор — оставьте свой отзыв о докторе
    Написать отзыв

    Услуги стоматолога в других клиниках

    Хирургическая стоматология
    Удаление зубов от 1 100 ₽ до 20 000 ₽
    Удаление кисты и гранулемы зуба от 600 ₽ до 25 000 ₽
    Еще услуги
    Имплантация
    Установка мини-импланта от 10 000 ₽ до 26 700 ₽
    Методы имплантации
    Еще услуги