Стоматолог Салаватуллин Руслан Джалилевич — цены, отзывы, стаж — Принимает в Казани

Салаватуллин Руслан Джалилевич

Салаватуллин Руслан Джалилевич - фотография
стоматолог-ортопед
Стаж 16 лет
Салаватуллин Руслан Джалилевич принимает в «Стоматологическая клиника МИЛЛИДЕНТ» в Казани. Стаж 16 лет. Специализируется на ортопедии, по которой клиника оказывает 7 услуг. Квалификация специалиста подтверждена 5 лицензиями, сертификатами и наградами. Для уточнения дополнительной информации о специалисте или записи на прием можно позвонить по телефону
+7 (927)Показать телефон
. Также 32top представляет форму онлайн расписания, через которую можно записаться к специалисту на свободную дату и время.

Где принимает:

Опыт 16 лет
1 работа в портфолио
5 сертификатов

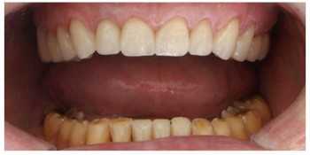
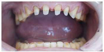
Салаватуллин Руслан Джалилевич: портфолио (1)

Отзывы о враче Салаватуллин Руслан Джалилевич

Почему нашим отзывам можно доверять?
15 сентября 2025 г.
1 2 3 4 5
Обратившись в эту клинику , я ничуть не пожалела в этой клинике работают настоящие профессионалы! Хочу выразить искреннюю благодарность за лечение каналов у Билалова Риналя Ниязовича , за установку имплантатов у Ящука Никиты Олеговича и за протезирование Салаватуллина Руслана Джалиловича! Всем рекомендую данную клинику
Благодарим вас за отзыв и доверие к нашей команде профессионалов! Мы гордимся, что смогли помочь вам восстановить здоровье и обрести уверенность в своей улыбке. Продолжайте радоваться здоровой и прекрасной улыбке, а мы всегда готовы поддержать вас на этом пути!
    Помогите другим сделать правильный выбор — оставьте свой отзыв о докторе
    Написать отзыв

    Услуги стоматолога в других клиниках

    Протезирование зубов
    Установка коронки на зуб от 4 900 ₽ до 59 000 ₽
    Виды протезов
    Еще услуги