Стоматолог Гилязиев Анвар Марселевич — цены, отзывы, стаж — Принимает в Казани

Гилязиев Анвар Марселевич

Гилязиев Анвар Марселевич - фотография

5.0
Рейтинг: 5.0
Отзывов: 3
Положительных: 3
Отрицательных: 0
Последний : 596 дн. назад
3 отзыва
стоматолог-ортопед
Стаж 19 лет
Гилязиев Анвар Марселевич принимает в «Стоматологическая клиника МИЛЛИДЕНТ» в Казани. Стаж 19 лет. Специализируется на ортопедии, по которой клиника оказывает 9 услуг. Имеет 6 работ до/после в портфолио. Квалификация специалиста подтверждена 6 лицензиями, сертификатами и наградами. Для уточнения дополнительной информации о специалисте или записи на прием можно позвонить по телефону
+7 (927)Показать телефон
.

Запись на приём

Врач принимает в 1 клинике
6 сертификатов
Опыт 19 лет
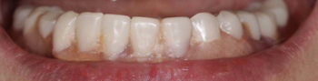
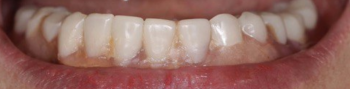
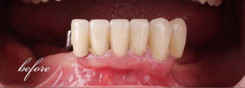
6 работ в портфолио

Гилязиев Анвар Марселевич: портфолио (6)

Отзывы о враче Гилязиев Анвар Марселевич

Рейтинг: 5
Отзывов: 3
Положительных: 3
Отрицательных: 0
Последний: 596 дн. назад
5.0
Почему нашим отзывам можно доверять?
10 октября 2024 г.
1 2 3 4 5
Мне очень понравился врач Гилязеев Анвар Марселевич , дал грамотную консультацию по моему лечению , вежливый и приятный человек
Признательны за ваш выбор и оказанное доверие! Спасибо, что так высоко оцениваете профессионализм нашего врача.
1 июля 2020 г.
1 2 3 4 5
Выражаю благодарность Гилязиеву А. М. Высоклассный стоматолог-ортопед. Человек с большой буквы, всегда внимательный, доброжелательный. У меня был очень сложный случай протезирования. Анвар Марселевич удалил старые коронки абсолютно безболезненно и очень деликатно. Далее курировал лечение зубов и удаление уже бесполезных в результате его скрупулезной работы по снятию многочисленных слепков и точных замеров, я получила отличный результат. Зубы как свои, что нижние, что верхние. Очень довольна блестящей работой профессионала своего дела, его компетенцией и в других областях стоматологии. Большего именно таких специалистов и людей. Рада, что попала в его золотые руки. Буду рекомендовать доктора Гилязиева А. М. всем родным и знакомым.
13 марта 2020 г.
1 2 3 4 5
Выражаю огромную благодарность врачу-ортопеду Гилязиеву Анвару Марселевичу за профессионализм, чуткость и результат проделанной им работы. Коронку ставили в зоне улыбки, соответственно для меня особенно был важен результат. Уже через пару часов после фиксации было ощущение, что это не коронка, а мой родной зуб. Смело рекомендую такого специалиста с золотыми руками и человечным подходом!
    Помогите другим сделать правильный выбор — оставьте свой отзыв о докторе
    Написать отзыв

    Услуги стоматолога в других клиниках

    Эстетическая стоматология
    Установка виниров от 29 900 ₽ до 70 000 ₽
    Установка скайсов от 1 500 ₽ до 8 100 ₽
    Еще услуги
    Протезирование зубов
    Установка коронки на зуб от 4 900 ₽ до 59 000 ₽
    Виды протезов
    Еще услуги