Стоматолог Калимуллин Эдуард Ришатович — цены, отзывы, стаж — Принимает в Казани

Калимуллин Эдуард Ришатович

Калимуллин Эдуард Ришатович - фотография
стоматолог-ортодонт
Стаж 10 лет
Калимуллин Эдуард Ришатович принимает в «Центр планирования имплантации зубов АНАТОМИЯ УЛЫБКИ» в Казани. Стаж 10 лет. Специализируется на ортодонтии, по которой клиника оказывает 3 услуги. Имеет 3 работы до/после в портфолио. Квалификация специалиста подтверждена 3 лицензиями, сертификатами и наградами. Также 32top представляет форму онлайн расписания, через которую можно записаться к специалисту на свободную дату и время.

Где принимает:

3 сертификата
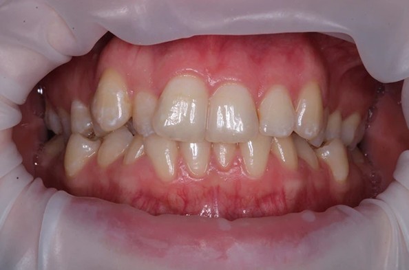
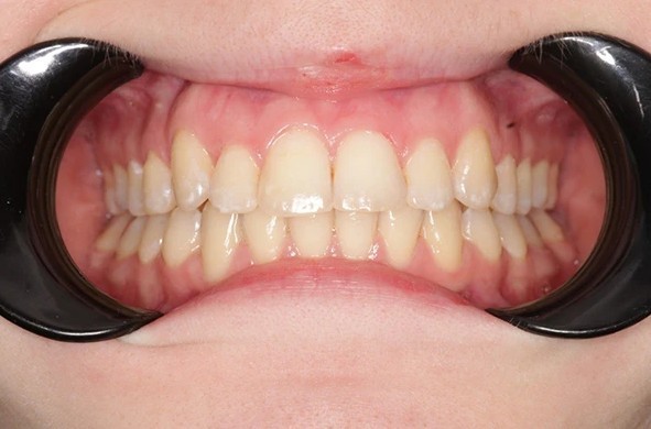
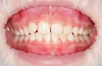
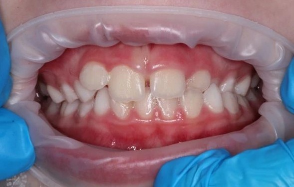
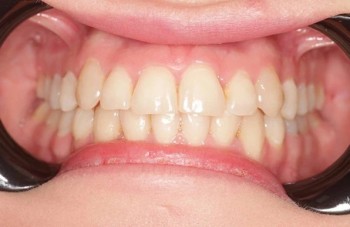
3 работы в портфолио
Опыт 10 лет
    Помогите другим сделать правильный выбор — оставьте свой отзыв о докторе
    Написать отзыв

    Стоматологические ассоциации

    • Профессиональное общество ортодонтов России

    Калимуллин Эдуард Ришатович: портфолио (3)

    Услуги стоматолога в других клиниках

    Ортодонтия
    Установка брекетов от 10 000 ₽ до 250 000 ₽
    Снятие брекетов от 1 000 ₽ до 35 000 ₽
    Еще услуги