Стоматолог Захарова Ольга Валерьевна — цены, отзывы, стаж — Принимает в Казани

Захарова Ольга Валерьевна

Захарова Ольга Валерьевна - фотография
стоматолог-ортодонт
Стаж 12 лет
Захарова Ольга Валерьевна принимает в «Детская стоматология БЭБИ ВИТА ДЕНТ» в Казани. Стаж 12 лет. Специализируется на ортодонтии, по которой клиника оказывает 11 услуг. Имеет 2 работы до/после в портфолио. Квалификация специалиста подтверждена 14 лицензиями, сертификатами и наградами. Для уточнения дополнительной информации о специалисте или записи на прием можно позвонить по телефону
+7 (8432)Показать телефон
.

Где принимает:

Опыт 12 лет
14 сертификатов
2 работы в портфолио

О стоматологе

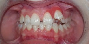
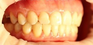
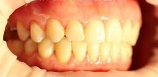
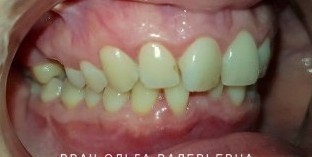
Исправление зубов и прикуса у детей от 3 лет и взрослых. Использование в своей работе металлических и керамических брекетов, частичной брекет-системы, элайнеров, сплинт-терапия, работа с артикулятором, подготовка к протезированию, работа с миографом, тенсом.

Захарова Ольга Валерьевна: портфолио (2)

Отзывы о враче Захарова Ольга Валерьевна

Почему нашим отзывам можно доверять?
После приема Пациент записывался в клинику через 32top. После приёма мы позвонили ему и получили отзыв.
27 мая 2025 г.
1 2 3 4 5
Клинику нашла в интернете по отзывам. Записалась на консультацию к стоматологу-ортодонту Ольге Валерьевне. Я очень довольна результатом консультации, врач внимательная, после осмотра рассказала о предстоящем лечении, объяснила сколько будет оно длиться, какой будет результат и примерная сумма услуги. По срокам и цене все устроило, рекомендую.
Благодарим за тёплые слова! Всегда готовы помочь и ждём Вас снова!
    Помогите другим сделать правильный выбор — оставьте свой отзыв о докторе
    Написать отзыв

    Услуги стоматолога в других клиниках

    Ортодонтия
    Установка брекетов от 10 000 ₽ до 250 000 ₽
    Снятие брекетов от 1 000 ₽ до 35 000 ₽
    Еще услуги