Стоматолог Филина Нина Константиновна — цены, отзывы, стаж — Принимает в Казани

Филина Нина Константиновна

Филина Нина Константиновна - фотография
стоматолог-ортодонт
Стаж 14 лет
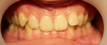
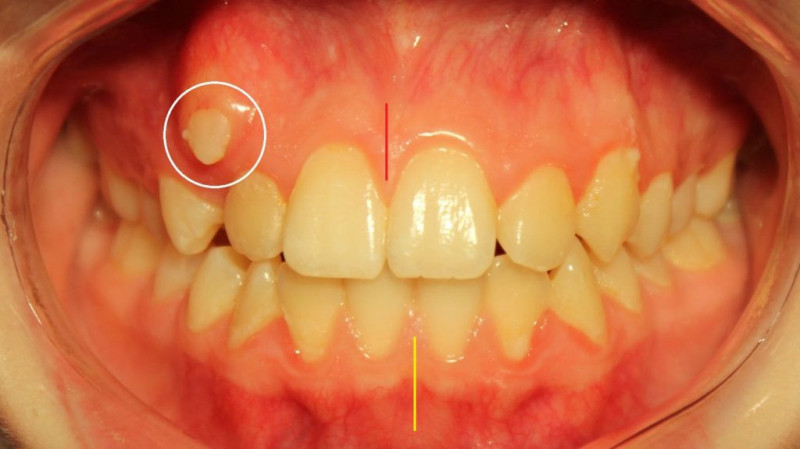
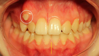
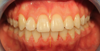
Филина Нина Константиновна принимает в «Семейная стоматология КАМЕЛИЯ-МЕД» в Казани. Стаж 14 лет. Специализируется на ортодонтии, по которой клиника оказывает 9 услуг. Имеет 5 работ до/после в портфолио. Для уточнения дополнительной информации о специалисте или записи на прием можно позвонить по телефону
+7 (8432)Показать телефон
. Также 32top представляет форму онлайн расписания, через которую можно записаться к специалисту на свободную дату и время.

Где принимает:

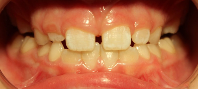
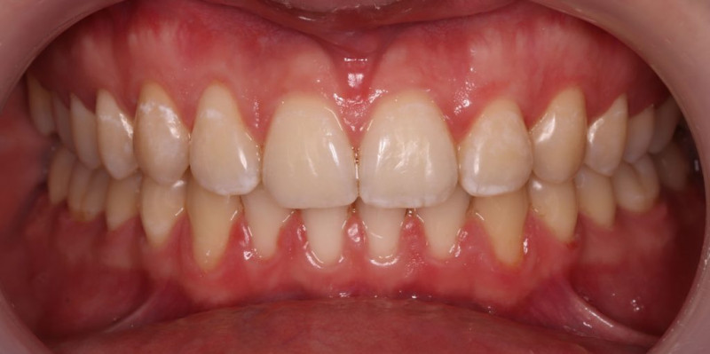
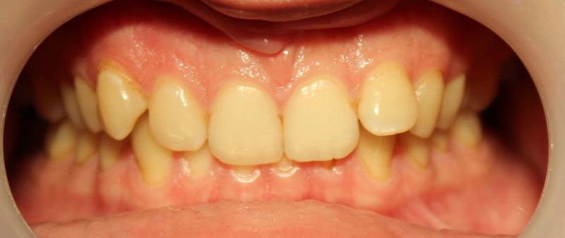
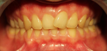
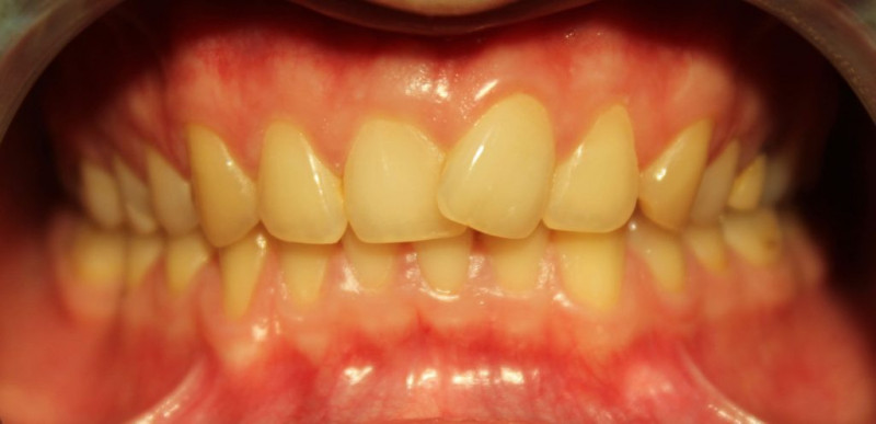
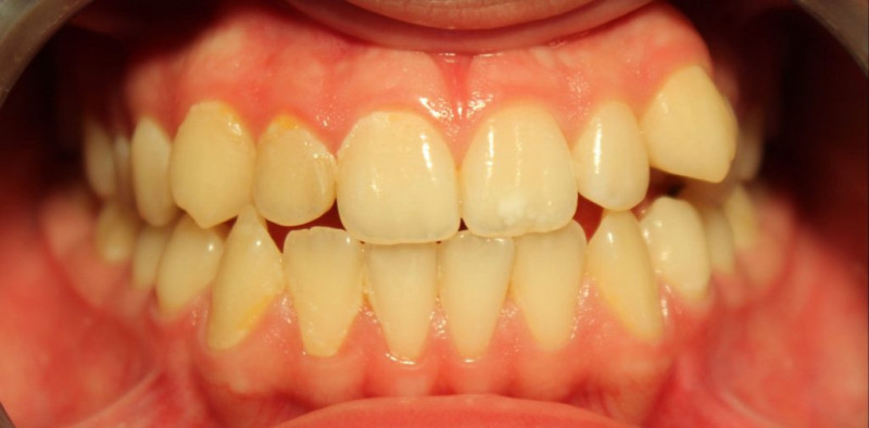
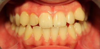
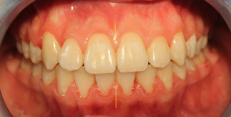
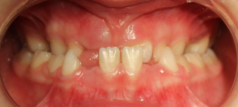
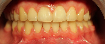
5 работ в портфолио
Опыт 14 лет
    Помогите другим сделать правильный выбор — оставьте свой отзыв о докторе
    Написать отзыв

    Услуги врача (19)

    Ортодонтия
    Установка брекетов
    Снятие брекетов
    Установка элайнеров
    от 80 000 ₽ до 368 500 ₽ на 1 челюсть
    Еще услуги
    Все цены носят ознакомительный характер. Точную цену вы сможете получить только после консультации специалиста.
    Звоните по телефону:
    +7 (8432)Показать телефон

    Филина Нина Константиновна: портфолио (5)