Стоматолог Саломов Хушнуд Азамджонович — цены, отзывы, стаж — Принимает в Казани

Саломов Хушнуд Азамджонович

Саломов Хушнуд Азамджонович - фотография

4.5
Рейтинг: 4.5
Отзывов: 4
Положительных: 4
Отрицательных: 0
Последний : 192 дн. назад
4 отзыва
стоматолог-терапевт
стоматолог-ортопед
Стаж 8 лет
Саломов Хушнуд Азамджонович принимает в «Сеть стоматологических клиник СМАРТ КЛИНИКА» в Казани. Стаж 8 лет. Специализируется на терапии и ортопедии, по которым клиника оказывает 51 услугу. Имеет 3 работы до/после в портфолио. Для уточнения дополнительной информации о специалисте или записи на прием можно позвонить по телефону
+7 (8432)Показать телефон
. Занимает 19 место в рейтинге стоматологов-ортопедов 32top в вашем городе.

Где принимает:

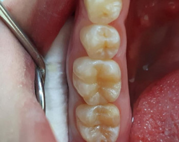
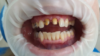
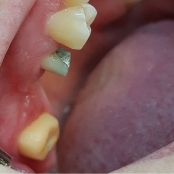
3 работы в портфолио
Опыт 8 лет

Отзывы о враче Саломов Хушнуд Азамджонович

Рейтинг: 4.5
Отзывов: 4
Положительных: 4
Отрицательных: 0
Последний: 192 дн. назад
4.5
Пациенты отмечают:
Тщательный осмотр
Лечение помогло
Почему нашим отзывам можно доверять?
11 ноября 2025 г.
1 2 3 4 5
Саломов Хушнуд Азамджонович отличный ортопед! Лечусь у него постоянно, очень внимательный врач, все подробно объясняет. А в последний раз приходила к нему на профессиональную гигиену, результат на отлично!
После приема Пациент записывался в клинику через 32top. После приёма мы позвонили ему и получили отзыв.
29 марта 2025 г.
1 2 3 4 5
В клинику уже обращаюсь не первый раз. Клиника нравится, мне удобно добираться. Обращаюсь к врачу Саломову Хушнуду Азамджоновичу. Лечение проходить нормально, боли и неприятных ощущений нет. Не нравиться то, что начало приема всегда задерживают на 5-10 мин, я обычно прихожу с ночной смены и для меня это не приятно. В остально все устраивает.
23 февраля 2025 г.
1 2 3 4 5
Ходила на консультацию по имплантации к доктору Саломову Хушнуду Азамджоновичу. Доктор ответил на все вопросы, всё прошло хорошо. Выбрала клинику по отзывам в интернете. Обстановка комфортная, персонал приятный. Приёма ждать не пришлось, приняли ровно по времени. Цена за консультацию устроила, но вот за саму процедуру ценник оказался в два раза выше, чем указано в интернете. Поэтому, скорее всего, не готова продолжать здесь лечение.
После приема Пациент записывался в клинику через 32top. После приёма мы позвонили ему и получили отзыв.
24 июля 2024 г.
1 2 3 4 5
Доктор Хушнуд Саломов лечил мне кариес в этой стоматологии. Лечение прошло безупречно: без боли и оперативно. Я искала клинику с приемлемыми ценами неподалеку от дома и не ошиблась с выбором. Все отлично: вежливые и профессиональные специалисты, быстрая запись и прием, а стоимость услуг вполне приемлема.
    Помогите другим сделать правильный выбор — оставьте свой отзыв о докторе
    Написать отзыв

    Услуги врача (37)

    Терапевтическая стоматология
    Лечение кариеса
    от 4 100 ₽ за 1 зуб
    Лечение кариеса ICON
    от 3 800 ₽ за 1 зуб
    Лечение пульпита
    от 5 700 ₽ за 1 зуб
    Еще услуги
    Протезирование зубов
    Установка коронки на зуб
    от 16 800 ₽ за 1 зуб
    Установка протеза Акри Фри (Acry-Free)
    Ремонт зубных протезов
    от 3 700 ₽ за 1 шт.
    Еще услуги
    Все цены носят ознакомительный характер. Точную цену вы сможете получить только после консультации специалиста.
    Звоните по телефону:
    +7 (8432)Показать телефон

    Саломов Хушнуд Азамджонович: портфолио (3)