Стоматолог Скорикова Яна Витальевна — цены, отзывы, стаж — Принимает в Краснодаре

Скорикова Яна Витальевна

Скорикова Яна Витальевна - фотография
стоматолог-терапевт
детский стоматолог
4 работы в портфолио
3 сертификата
    Помогите другим сделать правильный выбор — оставьте свой отзыв о докторе
    Написать отзыв

    О стоматологе

    Скорикова Яна - лучший друг наших юных пациентов и по совместительству детский стоматолог. Родители отмечают чуткость, доброжелательность и профессионализм, а дети с нетерпением ждут следующего приёма. Несмотря на небольшой опыт, Яна Витальевна проводит качественное лечение по всем современным протоколам.

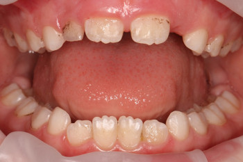
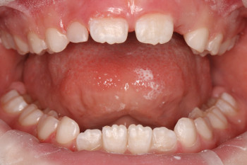
    Скорикова Яна Витальевна: портфолио (4)

    Услуги стоматолога в других клиниках

    Терапевтическая стоматология
    Лечение кариеса от 3 500 ₽ до 13 980 ₽
    Лечение пульпита от 5 500 ₽ до 35 000 ₽
    Еще услуги
    Детская стоматология
    Лечение молочных зубов от 1 500 ₽ до 9 600 ₽
    Удаление зубов у детей от 800 ₽ до 7 500 ₽
    Еще услуги