Стоматолог Малиновская Яна Сергеевна — цены, отзывы, стаж — Принимает в Краснодаре

Малиновская Яна Сергеевна

Малиновская Яна Сергеевна - фотография
стоматолог-терапевт
Стаж 14 лет
Малиновская Яна Сергеевна принимает в «Стоматологическая клиника ЦИФРА КЛИНИК» в Краснодаре. Стаж 14 лет. Специализируется на терапии, по которой клиника оказывает 9 услуг. Квалификация специалиста подтверждена 18 лицензиями, сертификатами и наградами. Для уточнения дополнительной информации о специалисте или записи на прием можно позвонить по телефону
+7 (861)Показать телефон
.

Где принимает:

Опыт 14 лет
1 работа в портфолио
18 сертификатов

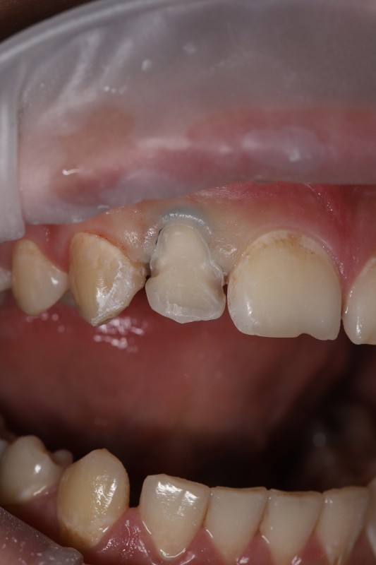
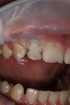
Малиновская Яна Сергеевна: портфолио (1)

    Помогите другим сделать правильный выбор — оставьте свой отзыв о докторе
    Написать отзыв

    Услуги стоматолога в других клиниках

    Терапевтическая стоматология
    Лечение кариеса от 3 500 ₽ до 13 980 ₽
    Лечение пульпита от 5 000 ₽ до 31 100 ₽
    Еще услуги
    Профгигиена
    Чистка зубов Air-flow от 900 ₽ до 10 000 ₽
    Фторирование зубов от 100 ₽ до 7 500 ₽
    Еще услуги