Стоматолог Шамов Нураддин Абдулжалилович — цены, отзывы, стаж — Принимает в Краснодаре

Шамов Нураддин Абдулжалилович

Шамов Нураддин Абдулжалилович - фотография
стоматолог-ортодонт
Стаж 13 лет
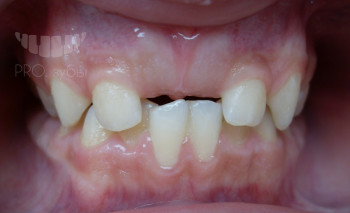
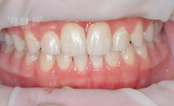
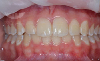
Шамов Нураддин Абдулжалилович принимает в «Стоматология НЬЮ ДЕНТ» в Краснодаре. Стаж 13 лет. Специализируется на ортодонтии, по которой клиника оказывает 4 услуги. Имеет 2 работы до/после в портфолио. Квалификация специалиста подтверждена 11 лицензиями, сертификатами и наградами.

Где принимает:

2 работы в портфолио
11 сертификатов
Опыт 13 лет
    Помогите другим сделать правильный выбор — оставьте свой отзыв о докторе
    Написать отзыв

    О стоматологе

    Ведущий специалист нашего центра стоматологии по лечению элайнерами. Идёт в ногу со временем и всегда использует современные технологии в своей работе. Сертифицированный специалист компании Invisalign, которая является мировым лидером по исправлению аномалий прикуса и положения зубов с помощью элайнеров. Доброта и отзывчивость Нураддина внушают пациентам доверие и спокойствие.

    Шамов Нураддин Абдулжалилович: портфолио (2)

    Услуги стоматолога в других клиниках

    Ортодонтия
    Установка брекетов от 10 000 ₽ до 132 600 ₽
    Снятие брекетов от 2 500 ₽ до 30 000 ₽
    Еще услуги