Стоматолог Оганесян Мгер Камоевич — цены, отзывы, стаж — Принимает в Краснодаре

Оганесян Мгер Камоевич

Оганесян Мгер Камоевич - фотография

4.9
Рейтинг: 4.9
Отзывов: 9
Положительных: 9
Отрицательных: 0
Последний : 31 дн. назад
9 отзывов
2 место в рейтинге
стоматолог-ортопед
Стаж 13 лет
Оганесян Мгер Камоевич принимает в «Эстетическая стоматология и имплантология ИМПЛАНТ ДЕНТИСТРИ» в Краснодаре. Стаж 13 лет. Специализируется на ортопедии, по которой клиника оказывает 23 услуги. Имеет 17 работ до/после в портфолио. Квалификация специалиста подтверждена 4 лицензиями, сертификатами и наградами. Для уточнения дополнительной информации о специалисте или записи на прием можно позвонить по телефону
+7 (861)Показать телефон
. Занимает 2 место в рейтинге стоматологов-ортопедов 32top в вашем городе.

Где принимает:

4 сертификата
17 работ в портфолио
Опыт 13 лет
2 место в рейтинге

Отзывы о враче Оганесян Мгер Камоевич

Рейтинг: 4.89
Отзывов: 9
Положительных: 9
Отрицательных: 0
Последний: 31 дн. назад
4.9
Почему нашим отзывам можно доверять?
После приема Пациент записывался в клинику через 32top. После приёма мы позвонили ему и получили отзыв.
7 апреля 2026 г.
1 2 3 4 5
В клинику попала по рекомендации. Поставила импланты с врачом Оганесян М.К. Отличный врач, прекрасный специалист своего дела, отзывчивое и доброжелательное отношение к пациенту. Клиника современная, оборудование и материалы новейшие. Результатом и качеством довольна, Врач прекрасный, рекомендую.
Благодарим Вас за обратную связь! Ваш отзыв очень важен для нас. Высокое качество лечения - это наша приоритетная задача. Мы очень рады, что такие приятные впечатления связаны с лечением у нас в клинике. Будем рады видеть вас вновь. С любовью, команда клиники "Implant dentistry"
19 мая 2023 г.
1 2 3 4 5
Мгер Камоевич замечательный доктор, профессионал своего дела и просто весьма тактичный и хороший человек. Ставила у него мост, все очень понравилось! Работа очень профессиональная и очень приятные скидки! Однозначно рекомендую!
24 мая 2022 г.
1 2 3 4 5
Доктор приятный - все расскажет что вас интересует. Посоветует.Поставил коронку - все отлично - советую
После приема Пациент записывался в клинику через 32top. После приёма мы позвонили ему и получили отзыв.
27 февраля 2022 г.
1 2 3 4 5
Замечательная клиника! Была у двух специалистов, оба очень профессиональны, ни одного плохого слова не могу сказать. Администраторы вежливые и доброжелательные! Очень нравится обратная связь Мгера Камоевича, просто 24/7, всегда можно написать и получишь совет и наставления. Я у него проходила протезирование. Лечением занимался Арсен Манвелович. Говорит перед лечением что будет делать. Мне все очень нравится, всем рекомендую эту клинику!
Спасибо за рекомендацию, будем рады видеть вас снова в нашей клинике. Нам очень важно ваше мнение.
После приема Пациент записывался в клинику через 32top. После приёма мы позвонили ему и получили отзыв.
4 ноября 2020 г.
1 2 3 4 5
Могу выделить Руслана Курбановича – очень хороший доктор, отзывчивый, он прям чувствует пациента, добрый. Еще доктор Мгер Камоевич он классный, прикольный, он позитивный. Каждый врач знает свою работу, я ничего плохого не могу сказать. Всегда предлагают различные варианты лечения, плюсы / минусы выявляют. Была одна барышня, ассистентка всех врачей, единственная мне запомнилась - это Люба. Люба она афигенная дама!!! Она улыбается, всегда на позитиве. Карина тоже очень хороший работник, она всегда напоминает о приеме. И еще нравится то, что могут подождать если надо, если опаздываешь. Очень нравится ваша клиника и доктора!!!
11 августа 2020 г.
1 2 3 4 5
В эту клинику «Элит» попала после долгих поисков хорошего врача. Мне очень повезло с первым познакомиться с Русланом Курбановичем Курбановым. Это врач от Бога! Специалист высшего класса! Самые сложные моменты по лечению зубов прошли совершенно безболезненно. Затем, я перешла в руки протезистов- Мгер Камоевич и Миграна Камоевича. Я поняла, что врачам этой клиники можно спокойно доверить все стадии лечения зубов.Лучших дантистов- ортодонтов не встречала! Спасибо Вам, замечательные врачи, за наши с мужем здоровые и красивые улыбки!
21 октября 2019 г.
1 2 3 4 5
Хочу выразить благодарность Мгеру Камоевичу за эргономочно сделанный протез, за внимание и заботу. Это достаточно грамотный ортопед, на мой взгляд он сделал все, чтобы мне было впоследствии удобно и комфортно! Сам стоматологический центр Элит мне тоже привлекателен, приятно находиться внутри, т.к обстановка располагает, уютно, чисто, спокойно здесь, да и оборудована очень хорошо по современным меркам.
4 октября 2019 г.
1 2 3 4 5
Была в в центре эстеритеской стоматологии “Элит” на Уральской, стоматология мне очень понравилась, уютная, просторная приемная, есть красивый аквариум у них)))) в самой клинике и кабинете чистенько, кресло и оборудование новые, хорошие. Персонал вежливый. Пришла сюда т.к. увидела акцию на отбеливание по лояльной стоимости. Процедуру мне провел стоматолог Мгер Камоевич, сам доктор мне понравился, достаточно вежливый, все аккуратно делает, отбеливание выполнил качественно, очень порадовал результат)))
11 апреля 2018 г.
1 2 3 4 5
Доктор Мгер спасибо и до новых встреч! покорили мастерством и обаянием) провел чистку и удалил убитый зуб превосходно!
    Помогите другим сделать правильный выбор — оставьте свой отзыв о докторе
    Написать отзыв

    Услуги врача (39)

    Хирургическая стоматология
    Удаление зубов
    от 3 500 ₽ за 1 зуб
    Удаление зуба мудрости
    от 5 500 ₽ за 1 зуб
    Сложное удаление зуба
    от 5 000 ₽ за 1 зуб
    Еще услуги
    Протезирование зубов
    Установка коронки на зуб
    от 15 000 ₽ до 17 000 ₽ за 1 зуб
    Ремонт зубных протезов
    от 5 000 ₽ за 1 шт.
    Перебазировка съёмного протеза
    от 5 000 ₽ за 1 шт.
    Еще услуги
    Все цены носят ознакомительный характер. Точную цену вы сможете получить только после консультации специалиста.
    Звоните по телефону:
    +7 (861)Показать телефон

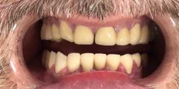
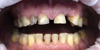
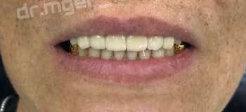
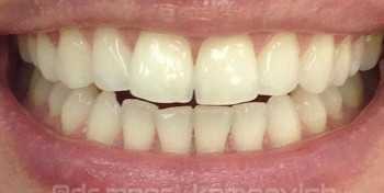
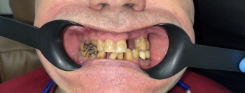
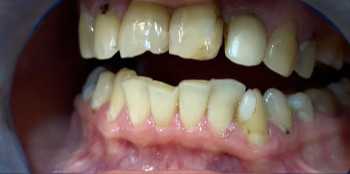
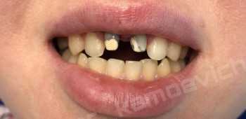
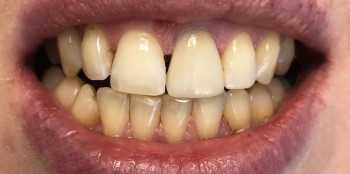
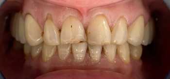
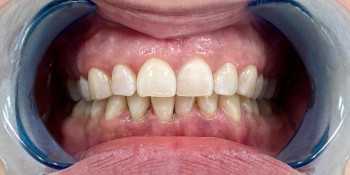
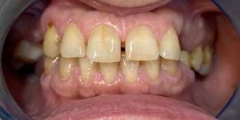
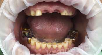
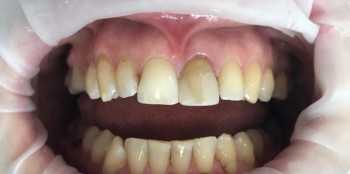
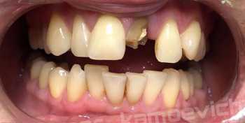
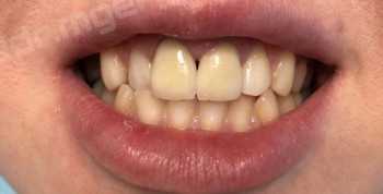
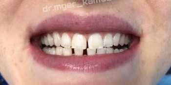
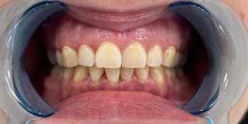
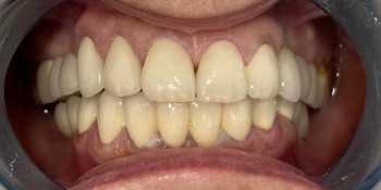
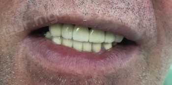
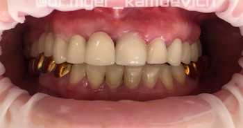
    Оганесян Мгер Камоевич: портфолио (17)

    Акции и скидки клиники ИМПЛАНТ ДЕНТИСТРИ (4)