Стоматолог Юшин Андрей Викторович — цены, отзывы, стаж — Принимает в Краснодаре

Юшин Андрей Викторович

Юшин Андрей Викторович - фотография

5.0
Рейтинг: 5.0
Отзывов: 5
Положительных: 5
Отрицательных: 0
Последний : 1940 дн. назад
5 отзывов
стоматолог-терапевт
стоматолог-ортопед
Стаж 31 год
врач высшей категории
Юшин Андрей Викторович принимает в «Стоматологический центр ЕВРОДЕНТ» в Краснодаре. Врач высшей категории, стаж 31 год. Специализируется на терапии и ортопедии, по которым клиника оказывает 41 услугу. Имеет 5 работ до/после в портфолио. Квалификация специалиста подтверждена 17 лицензиями, сертификатами и наградами. Для уточнения дополнительной информации о специалисте или записи на прием можно позвонить по телефону
+7 (861)Показать телефон
. Также 32top представляет форму онлайн расписания, через которую можно записаться к специалисту на свободную дату и время.

Где принимает:

Врач высшей категории
Опыт 31 год
5 работ в портфолио
17 сертификатов

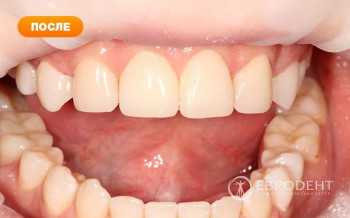
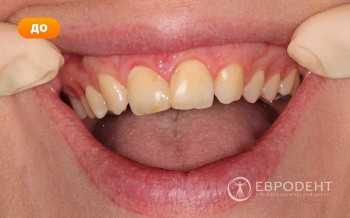
Юшин Андрей Викторович: портфолио (5)

Отзывы о враче Юшин Андрей Викторович

Рейтинг: 5
Отзывов: 5
Положительных: 5
Отрицательных: 0
Последний: 1940 дн. назад
5.0
Почему нашим отзывам можно доверять?
После приема Пациент записывался в клинику через 32top. После приёма мы позвонили ему и получили отзыв.
17 января 2021 г.
1 2 3 4 5
Обслуживаемся в стоматологии в течение 20ти лет, вся семья, уже даже внуки обслуживаются тут! Лечимся у Тимченко Святослава Викторовича и у Андрея Викторовича Юшина. А еще раньше мы обслуживались у Евгения Викторовича, он тоже был замечательным доктором! Замечательный персонал, девушки приветливые, вежливые. Любую прихоть исполняют: хочешь чаек - пожалуйста, сама не можешь - нальют. Не жалко заплатить такие деньги за внимание. Аппаратура шикарнейшая, кабинеты шикарнейшие!
После приема Пациент записывался в клинику через 32top. После приёма мы позвонили ему и получили отзыв.
8 января 2021 г.
1 2 3 4 5
У меня самый наилучший отзыв о клинике. Много лет тут лечимся всей семьей у Андрея Викторовича. И у Святослава Викторовича мы у него импланты ставили. В стоматологии чисто, светло, персонал вежливый.
7 декабря 2019 г.
1 2 3 4 5
После неудачной попытки вылечить зубы в одной из клиник, случайно нашла в интернете информацию о клинике "Евродент". Записали к Юшину А.В. Делала реставрацию переднего зуба. С первого раза , без укола , доктор сделал мне идеальный зуб! Точное попадание в цвет, форму, абсолютно никакого дискомфорта.Записалась еще раз долечивать остальные зубы к нему же. Замечательный врач , настоящий профессионал. И в целом клиника очень понравилась. Обслуживание на высоком уровне, доброжелательные сотрудники , хорошее оборудование, очень чисто, все удобно и великолепное, комфортное кресло для пациента в кабинете у врача! А это, я вам скажу, немаловажно!))) Спасибо!!!!
25 ноября 2019 г.
1 2 3 4 5
Хочу поблагодарить своего лечащего доктора Юшина А.В. Наблюдаюсь у него несколько лет. Попала к нему на прием по совету коллеги. У меня была непростая ситуация с передними зубами. Доктор сделал отличные реставрации, вылечил пульпит. Несколько слов так же хочу сказать о клинике Евродент. Очень просторно, комфортно находиться в здании, а также удобно, что есть парковка!
17 марта 2016 г.
1 2 3 4 5
Очень долго искала достойную клинику для своей семьи.И остановилась на клинике Евродент люкс.Отличные профессиональные специалисты!Святослав Викторович, Андрей Викторович, Марина Владимировна. Комфортная обстановка ,внимательный персонал ,чистота и отличное современное оборудование .Привела в клинику мужа,детей и рекомендую друзьям и знакомым.С уважением благодарный пациент и многодетная мама.
    Помогите другим сделать правильный выбор — оставьте свой отзыв о докторе
    Написать отзыв

    Услуги стоматолога в других клиниках

    Терапевтическая стоматология
    Лечение кариеса от 3 500 ₽ до 13 980 ₽
    Лечение пульпита от 5 000 ₽ до 31 100 ₽
    Еще услуги
    Протезирование зубов
    Установка коронки на зуб от 5 000 ₽ до 96 000 ₽
    Виды протезов
    Еще услуги