Стоматолог Петрикова Анна Федоровна — цены, отзывы, стаж — Принимает в Краснодаре

Петрикова Анна Федоровна

Петрикова Анна Федоровна - фотография

5.0
Рейтинг: 5.0
Отзывов: 2
Положительных: 2
Отрицательных: 0
Последний : 2047 дн. назад
2 отзыва
стоматолог-терапевт
стоматолог-гигиенист
стоматолог-хирург
детский стоматолог
Стаж 20 лет
Петрикова Анна Федоровна принимает в «Сеть стоматологических клиник ЭСКУЛАП» в Краснодаре. Стаж 20 лет. Специализируется на терапии, гигиене полости рта, хирургии и детской стоматологии, по которым клиника оказывает 45 услуг. Имеет 5 работ до/после в портфолио. Для уточнения дополнительной информации о специалисте или записи на прием можно позвонить по телефону
+7 (861)Показать телефон
.

Где принимает:

Опыт 20 лет
5 работ в портфолио

О стоматологе

Анна Фёдоровна – детский врач-стоматолог, врач-стоматолог-терапевт сети стоматологических клиник «ЭСКУЛАП». Сертифицированный специалист, обладающий серьезной теоретической базой и клиническим опытом в области детской стоматологии. Анна Фёдоровна всегда стремится к развитию профессиональных навыков, посещает лекции, семинары, курсы повышения квалификации.
В своей работе Анна Фёдоровна придает большое значение созданию спокойной, комфортной обстановки для своих пациентов.
Анна Фёдоровна проводит профилактику заболеваний зубов и тканей полости рта: снятие мягких и твёрдых зубных отложений, мероприятия по укреплению эмали – реминерализующую терапию, обучает пациентов-детей правилам ухода за полостью рта. Осуществляет лечение некариозных поражений тканей зубов: флюороз, гипоплазия; лечение всех форм кариеса постоянных и молочных зубов, лечение пульпита, периодонтита. Лечение тканей пародонта: все формы гингивита, пародонтита, стоматита.
Все лечебные и профилактические манипуляции Анна Фёдоровна проводит под местной анестезией, а при необходимости и желании пациента – седацией и общим наркозом.

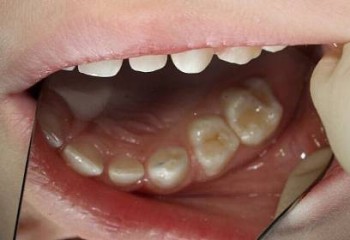
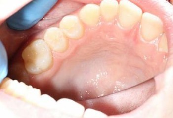
Петрикова Анна Федоровна: портфолио (5)

Отзывы о враче Петрикова Анна Федоровна

Рейтинг: 5
Отзывов: 2
Положительных: 2
Отрицательных: 0
Последний: 2047 дн. назад
5.0
Почему нашим отзывам можно доверять?
29 сентября 2020 г.
1 2 3 4 5
Замечательная доктор. Сначала лечила у неё свою дочку ещё несколько лет назад, а потом ждала выхода доктора из декрета, чтоб обратиться к ней самой. Одинаково хорошо лечит и детей, и их родителей! Очень внимательно, доброжелательна, дети к ней тянутся. Может найти правильные слова для того, чтоб детям было не страшно у неё лечиться.
24 мая 2020 г.
1 2 3 4 5
У ребенка были поражены кариесом практически все зубки, лечили под наркозом. Вместо запланированных 4-х часов лечение растянулось на 6. Масштаб проделанной работы впечатлил. Что было до лечения и после - две разные истории. Конечно же, очень переживали накануне, но оказались в руках опытного доктора, чему очень рады. Анне Федоровне адресную все слова благодарности.
    Помогите другим сделать правильный выбор — оставьте свой отзыв о докторе
    Написать отзыв

    Услуги стоматолога в других клиниках

    Терапевтическая стоматология
    Лечение кариеса от 3 500 ₽ до 13 980 ₽
    Лечение пульпита от 5 000 ₽ до 31 100 ₽
    Еще услуги
    Хирургическая стоматология
    Удаление зубов от 1 200 ₽ до 20 000 ₽
    Профгигиена
    Чистка зубов Air-flow от 900 ₽ до 10 000 ₽