Стоматолог Сакунц Ляна Геворковна — цены, отзывы, стаж — Принимает в Краснодаре

Сакунц Ляна Геворковна

Сакунц Ляна Геворковна - фотография

5.0
Рейтинг: 5.0
Отзывов: 4
Положительных: 4
Отрицательных: 0
Последний : 78 дн. назад
4 отзыва
стоматолог-терапевт
стоматолог-ортодонт
стоматолог-гигиенист
Стаж 9 лет
Сакунц Ляна Геворковна принимает в «Стоматологическая клиника 32 КЛИНИК» в Краснодаре. Стаж 9 лет. Специализируется на терапии, ортодонтии и гигиене полости рта, по которым клиника оказывает 27 услуг. Имеет 11 работ до/после в портфолио. Квалификация специалиста подтверждена 15 лицензиями, сертификатами и наградами. Для уточнения дополнительной информации о специалисте или записи на прием можно позвонить по телефону
+7 (861)Показать телефон
. Также 32top представляет форму онлайн расписания, через которую можно записаться к специалисту на свободную дату и время.

Где принимает:

15 сертификатов
Опыт 9 лет
Топ 50 в рейтинге
11 работ в портфолио

Отзывы о враче Сакунц Ляна Геворковна

Рейтинг: 5
Отзывов: 4
Положительных: 4
Отрицательных: 0
Последний: 78 дн. назад
5.0
Пациенты отмечают:
Профессионализм
Вежливость
Подробные объяснения
Тщательный осмотр
Аккуратность
Лечение помогло
Почему нашим отзывам можно доверять?
19 февраля 2026 г.
1 2 3 4 5
Отличное отношение внимательно относятся к пациентам. Качественно и профессионально делают свою работу.Спасибо Ляне Геворковне за продеданную работу. все сделали отлично и безболезненно, это главное, т.к. ранее я очень боялся стоматологов. Удобное расположение клиники.
24 июня 2025 г.
1 2 3 4 5
Я хочу поделиться своим положительным опытом с врачом-стоматологом Сакунц Ляной Геворковной. Прием начался с подробной консультации. Врач внимательно выслушала мои жалобы и провела осмотр полости рта. Она объяснила проблему, рассказав о состоянии моих зубов и предложила оптимальный вариант лечения — эндодонтическое лечение каналов зуба. Перед началом процедуры она дала четкое разъяснение всех этапов предстоящего лечения, успокоила меня и ответила на все возникшие вопросы. Затем была проведена анестезия, для комфортного проведения манипуляций. Лечение проходило абсолютно безболезненно ! Во время работы использовалась аппаратура для контроля качества лечения — делался рентгеновский снимок зуба Так же хочется отметить, что доктор работала совместно с ассистентом, что существенно ускоряло процесс . Завершив лечение, врач предоставила рекомендации по уходу за полостью рта и профилактике возможных осложнений. Я остался доволен качеством обслуживания и профессионализмом доктора. Опыт посещения клиники оставил исключительно положительные впечатления.
19 мая 2025 г.
1 2 3 4 5
Недавно посетил стоматолога-терапевта Сакунц Ляну Геворковну, и хочу поделиться своим опытом. Она отлично провела эндодонтическое лечение, все этапы были понятны и безболезненны. Особенно хочу отметить, как аккуратно и незаметно она ввела анестезию — я практически не почувствовал дискомфорта. Врач очень внимательная и профессиональная, чувствуется, что действительно заботится о своих пациентах. Рекомендую всем, кто ищет качественное лечение!
После приема Пациент записывался в клинику через 32top. После приёма мы позвонили ему и получили отзыв.
6 мая 2025 г.
1 2 3 4 5
В клинику обратилась на профгигиену. Прошла услугу у Сакунц Л.Г. Все сделала отлично, аккуратно, без неприятных ощущений, качеством довольна. За следующей профгигиеной обращусь сюда снова.
Добрый день! Спасибо за вашу оценку и положительный отзыв! Нам очень приятно знать, что вы остались довольны нашим обслуживанием. Благодарим, что выбираете нашу клинику. Будем рады видеть вас снова!! С заботой о вас, 32 Clinic
    Помогите другим сделать правильный выбор — оставьте свой отзыв о докторе
    Написать отзыв

    Услуги врача (76)

    Профгигиена
    Чистка зубов Air-flow
    от 6 000 ₽ за 1 сеанс
    Комплексная гигиена полости рта
    от 400 ₽ до 4 000 ₽ вся полость
    Ультразвуковая чистка зубов
    от 200 ₽
    Еще услуги
    Терапевтическая стоматология
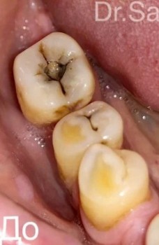
    Лечение кариеса
    Лечение кариеса ICON
    Лечение поверхностного кариеса
    от 4 000 ₽
    Еще услуги
    Эстетическая стоматология
    Отбеливание зубов
    от 9 000 ₽ до 30 000 ₽ за обе челюсти
    Наращивание зубов
    Установка виниров
    Еще услуги
    Ортодонтия
    Установка брекетов
    от 30 000 ₽ до 70 000 ₽ за 1 челюсть
    Снятие брекетов
    от 5 000 ₽ за 1 челюсть
    Установка элайнеров
    Еще услуги
    Все цены носят ознакомительный характер. Точную цену вы сможете получить только после консультации специалиста.
    Звоните по телефону:
    +7 (861)Показать телефон

    О стоматологе

    Сакунц Ляна Геворковна знает о лечении и гигиене полости рта абсолютно все. Владеет всеми современными технологиями сохранения здоровой улыбки, крепких зубов и десен. Пролечит зубы без страха и боли. Благодарные пациенты каждый день рекомендуют обращаться к Ляне Геворковне и с удовольствием ходят на гигиену полости рта.


    Специализация врача:

    • Отбеливание зубов.
    • Художественная реставрация.
    • Лечение кариеса.
    • Подготовка к протезированию.

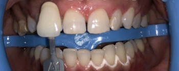
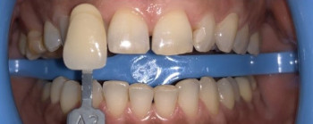
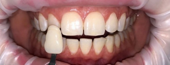
    Сакунц Ляна Геворковна: портфолио (11)

    Акции и скидки клиники 32 КЛИНИК (6)