Стоматолог Кукса Виталия Вадимовна — цены, отзывы, стаж — Принимает в Краснодаре

Кукса Виталия Вадимовна

Кукса Виталия Вадимовна - фотография

5.0
Рейтинг: 5.0
Отзывов: 2
Положительных: 2
Отрицательных: 0
Последний : 1488 дн. назад
2 отзыва
стоматолог-терапевт
стоматолог-ортопед
Стаж 15 лет
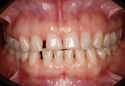
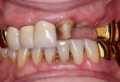
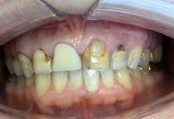
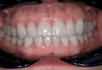
Кукса Виталия Вадимовна принимает в «Сеть стоматологических клиник ЭСКУЛАП» в Краснодаре. Стаж 15 лет. Специализируется на терапии и ортопедии, по которым клиника оказывает 52 услуги. Имеет 6 работ до/после в портфолио. Для уточнения дополнительной информации о специалисте или записи на прием можно позвонить по телефону
+7 (861)Показать телефон
.

Где принимает:

Опыт 15 лет
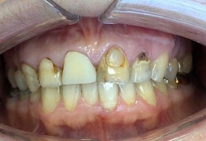
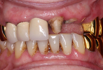
6 работ в портфолио

Кукса Виталия Вадимовна: портфолио (6)

Отзывы о враче Кукса Виталия Вадимовна

Рейтинг: 5
Отзывов: 2
Положительных: 2
Отрицательных: 0
Последний: 1488 дн. назад
5.0
Почему нашим отзывам можно доверять?
11 апреля 2022 г.
1 2 3 4 5
Прохожу лечение у замечательного врача Куксы Виталии Вадимовны. На данном этапе пролечиваем зубы от кариеса, врач очень компетентная, всегда подробно все рассказывает, очень ответственно подходит к лечению. Хочу отметить ассистента Кристину, понимает врача с полуслова, видно опыт. :) Очень довольна выбором своего врача и клиники. Современное оборудование, врач работает по европротоколам, очень отзывчивый персонал и приятная атмосфера в самой клинике.
Здравствуйте! Благодарим Вас за оставленный отзыв. Желаем Вам крепкого здоровья и безупречной улыбки! С уважением, администрация сети стоматологий Эскулап.
5 августа 2020 г.
1 2 3 4 5
Виталия Вадимовна - врач с золотыми руками! Виниры в зоне улыбки, и я - "звезда Голливуда". Все было сделано профессионально, мастерски и быстро. Технологии на высшем уровне. Все манипуляции выполнялись четко и отлажено, каждый шаг продуман. Результат на лицо - красивая улыбка, никакого дискомфорта! Хочется от всей души поблагодарить Виталию Вадимовну за её умелые ручки и такое ответственное отношение к работе, тёплое и чуткое отношение к пациентам!
    Помогите другим сделать правильный выбор — оставьте свой отзыв о докторе
    Написать отзыв

    Услуги стоматолога в других клиниках

    Терапевтическая стоматология
    Лечение кариеса от 3 500 ₽ до 13 980 ₽
    Лечение пульпита от 5 000 ₽ до 31 100 ₽
    Еще услуги
    Эстетическая стоматология
    Установка виниров от 29 000 ₽ до 60 000 ₽
    Установка скайсов от 1 500 ₽ до 5 500 ₽
    Еще услуги
    Профгигиена
    Чистка зубов Air-flow от 900 ₽ до 10 000 ₽
    Фторирование зубов от 100 ₽ до 7 500 ₽
    Еще услуги