Стоматолог Ильченко Ольга Владимировна — цены, отзывы, стаж — Принимает в Краснодаре

Ильченко Ольга Владимировна

Ильченко Ольга Владимировна - фотография

5.0
Рейтинг: 5.0
Отзывов: 7
Положительных: 7
Отрицательных: 0
Последний : 2307 дн. назад
7 отзывов
стоматолог-терапевт
детский стоматолог
Стаж 29 лет
Ильченко Ольга Владимировна принимает в «Стоматологический кабинет УЛЫБНИСЬ» в Краснодаре. Стаж 29 лет. Специализируется на терапии и детской стоматологии, по которым клиника оказывает 11 услуг. Имеет 19 работ до/после в портфолио. Квалификация специалиста подтверждена 5 лицензиями, сертификатами и наградами. Для уточнения дополнительной информации о специалисте или записи на прием можно позвонить по телефону
+7 (861)Показать телефон
. Занимает 18 место в рейтинге детских стоматологов 32top в вашем городе.

Где принимает:

Опыт 29 лет
5 сертификатов
19 работ в портфолио

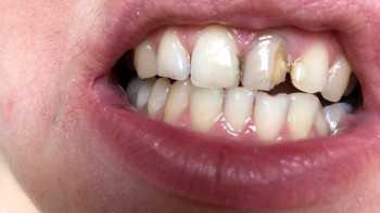
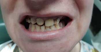
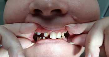
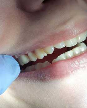
Ильченко Ольга Владимировна: портфолио (19)

Отзывы о враче Ильченко Ольга Владимировна

Рейтинг: 5
Отзывов: 7
Положительных: 7
Отрицательных: 0
Последний: 2307 дн. назад
5.0
Почему нашим отзывам можно доверять?
16 января 2020 г.
1 2 3 4 5
К Ольге Владимировне пришла на консультацию, думала что зуб придется удалять, но доктор зуб сохранила. Удалила нерв и поставила пломбу. Было совсем небольно и довольно быстро. Теперь к Ольге Владимировне записался и мой муж на лечение. Процветания вам и успехов!
6 января 2020 г.
1 2 3 4 5
У меня была проблема, сломала зуб и никто за него не захотел браться.... Знакомый посоветовал доктора. Она мне сразу помогла. Хочу сказать спасибо Ольге Владимировне за качественное лечение . Рекомендую Стоматологический центр «Улыбнись» и спасибо всему персоналу.
12 декабря 2019 г.
1 2 3 4 5
Несколько дней маялся с больным зубом, коллега посоветовал Стоматологию «Улыбнись», рядом с работой, сказал что сам недавно там проходил лечение, ему понравилось. Позвонил, сказал что больше терпеть не смогу, доктор пошла на встречу и пригласила меня на прием в этот же день. В клинике очень комфортная атмосфера и доктор к себе очень располагает. При осмотре Ольга Владимировна меня успокоила и поддержала, лечение прошло быстро и без боли. Удалили зубной камень, после лечения и чистки Ольга Владимировна дала рекомендации по дальнейшему уходу за полостью рта. Цены не кусаются, что тоже оставляет приятные ощущения)) Вообщем в следующии раз с проблемой зубов я уже точно знаю к кому обращусь...
2 декабря 2019 г.
1 2 3 4 5
Много лет я и моя многочисленная семья лечим зубы у Ольги Владимировны Ильченко. Т.к. сама я медик, всё время обращаю внимание на все мелочи в медицине, особенно что касается стерильности, так вот 100% стерильно. В клинике уютно, комфортно и оснащение на высшем уровне! Вседа можно записаться, особенно если экстренно — доктор пойдет на встречу и запишет на ближайшее время. Хочется пожелать процветания и побольше благодарных клиентов.
27 ноября 2019 г.
1 2 3 4 5
В клинике « Улыбнись» месяц назад вылечила зубы, хочу поблагодарить за внимательное и бережное отношение к пациетам! Как и многие, страх с детства перед стоматологами, поэтому так важно когда врач чуткий и заботливый, такой как Ильченко О.В. Перед лечением успокоит, взбодрит всегда. Вылечили больше десяти зубов, теперь улыбаюсь без стеснения. Рекомендую доктора и клинику!
22 ноября 2019 г.
1 2 3 4 5
Проходила лечение у Ольги Владимировны, всё понравилось. Вылечила зубы качественно и без боли, а что еще нужно?! Ничего не навязывает, рассказала о лечении грамотно и четко. Теперь не будем в семье думать в какую стоматологию обратится за лечением, только к Ольге Владимировне. Спасибо!
17 ноября 2019 г.
1 2 3 4 5
По рекомендации друзей записала дочку на прием к Ольге Владимировне. После лечения осталось приятное впечатление о докторе — врач сразу расположила дочку к себе, разговаривала с ней очень доброжелательно. В клинике чисто и уютно, приняли нас во-время. Да и цена порадовала)
    Помогите другим сделать правильный выбор — оставьте свой отзыв о докторе
    Написать отзыв

    Услуги стоматолога в других клиниках

    Терапевтическая стоматология
    Лечение кариеса от 3 500 ₽ до 13 980 ₽
    Лечение пульпита от 5 000 ₽ до 31 100 ₽
    Еще услуги
    Хирургическая стоматология
    Удаление зубов от 1 200 ₽ до 20 000 ₽
    Удаление кисты и гранулемы зуба от 2 000 ₽ до 30 000 ₽
    Еще услуги
    Протезирование зубов
    Установка коронки на зуб от 5 000 ₽ до 96 000 ₽
    Виды протезов
    Еще услуги
    Детская стоматология
    Лечение молочных зубов от 1 500 ₽ до 9 600 ₽
    Удаление зубов у детей от 1 000 ₽ до 8 000 ₽
    Еще услуги
    Профгигиена
    Чистка зубов Air-flow от 900 ₽ до 10 000 ₽
    Фторирование зубов от 100 ₽ до 7 500 ₽
    Еще услуги