Стоматолог Фещенко Валерия Валерьевна — цены, отзывы, стаж — Принимает в Краснодаре

Фещенко Валерия Валерьевна

Фещенко Валерия Валерьевна - фотография
стоматолог-терапевт
детский стоматолог
Стаж 8 лет
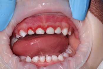
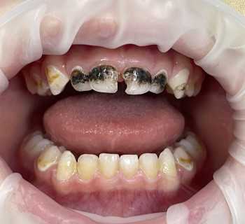
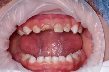
Фещенко Валерия Валерьевна принимает в «Стоматология СТАМУС» в Краснодаре. Стаж 8 лет. Специализируется на терапии и детской стоматологии, по которым клиника оказывает 18 услуг. Имеет 3 работы до/после в портфолио. Квалификация специалиста подтверждена 9 лицензиями, сертификатами и наградами.

Где принимает:

9 сертификатов
Опыт 8 лет
3 работы в портфолио

Фещенко Валерия Валерьевна: портфолио (3)

Отзывы о враче Фещенко Валерия Валерьевна

Почему нашим отзывам можно доверять?
После приема Пациент записывался в клинику через 32top. После приёма мы позвонили ему и получили отзыв.
19 марта 2024 г.
1 2 3 4 5
Мы с ребёнком очень довольны этой клиникой, не зря мы так долго её выбирали, жалко, что до этого пришлось походить по разным специалистам в другие стоматологии, если бы изначально пришли сюда - сэкономили бы кучу времени и средств. Очень хочется похвалить докторов Фещенко Валерию Валерьевну и Тонченко Татьяну Геннадьевну - наши любимые врачи! С ними было всё, и лечение кариеса, и чистка, и удаление. Всё всегда на высшем уровне, специалисты достойны похвалы! Найдут подход к ребёнку, успокоят, поговорят, развеселят - к таким специалистам хочется возвращаться снова и снова!
    Помогите другим сделать правильный выбор — оставьте свой отзыв о докторе
    Написать отзыв

    Услуги стоматолога в других клиниках

    Детская стоматология
    Лечение молочных зубов от 1 500 ₽ до 9 600 ₽
    Удаление зубов у детей от 1 000 ₽ до 8 000 ₽
    Еще услуги