Стоматолог Каскевич Елена Алексеевна — цены, отзывы, стаж — Принимает в Красноярске

Каскевич Елена Алексеевна

Каскевич Елена Алексеевна - фотография

5.0
Рейтинг: 5.0
Отзывов: 3
Положительных: 3
Отрицательных: 0
Последний : 70 дн. назад
3 отзыва
стоматолог-терапевт
Стаж 22 года
Каскевич Елена Алексеевна принимает в «Семейная стоматология САЛВЕРО» в Красноярске. Стаж 22 года. Специализируется на терапии, по которой клиника оказывает 16 услуг. Имеет 4 работы до/после в портфолио. Квалификация специалиста подтверждена 16 лицензиями, сертификатами и наградами. Для уточнения дополнительной информации о специалисте или записи на прием можно позвонить по телефону
+7 (3912)Показать телефон
. Занимает 6 место в рейтинге стоматологов-терапевтов 32top в вашем городе.

Где принимает:

16 сертификатов
4 работы в портфолио
Опыт 22 года
Топ 10 в рейтинге

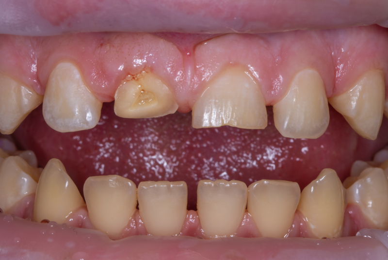
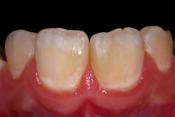
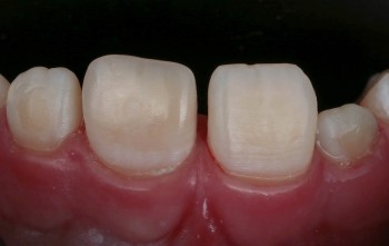
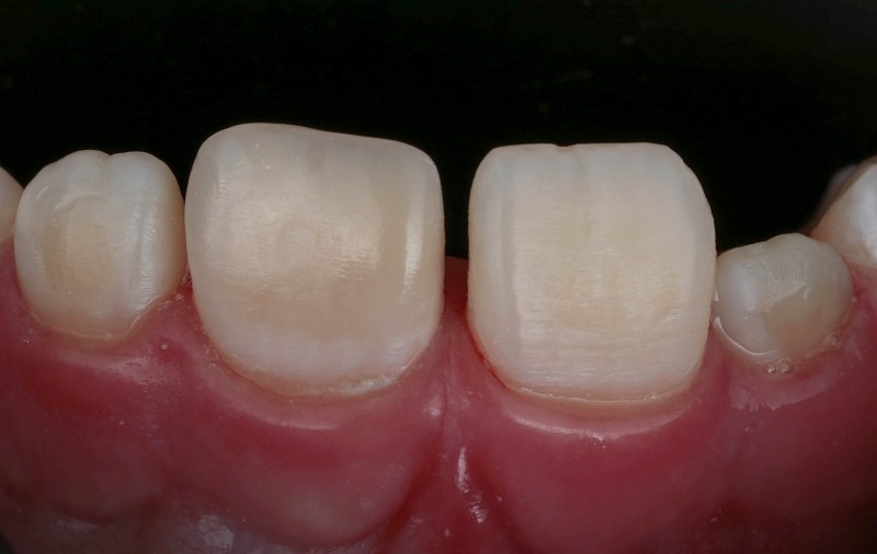
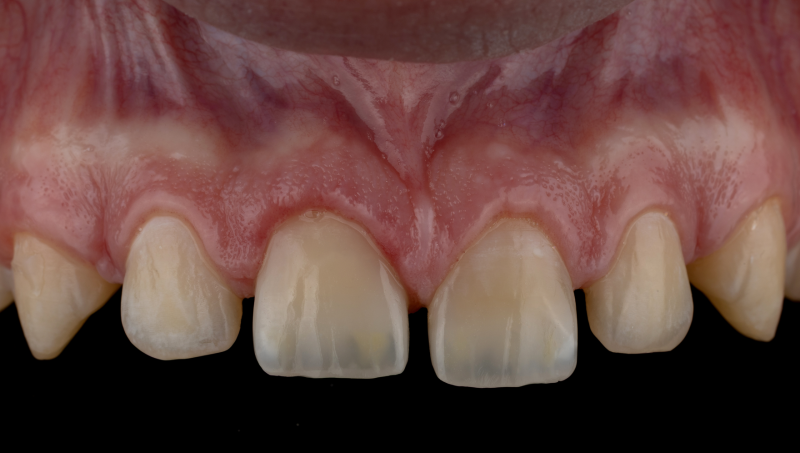
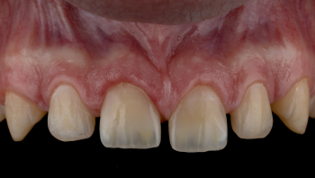
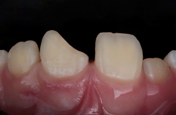
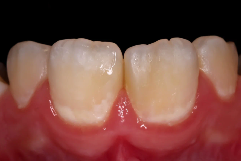
Каскевич Елена Алексеевна: портфолио (4)

Отзывы о враче Каскевич Елена Алексеевна

Рейтинг: 5
Отзывов: 3
Положительных: 3
Отрицательных: 0
Последний: 70 дн. назад
5.0
Почему нашим отзывам можно доверять?
3 марта 2026 г.
1 2 3 4 5
Обратилась к Елене Алексеевне с небольшим кариесом — боялась, что придётся долго и мучительно сверлить. Но врач всё сделала быстро и почти незаметно: обезболивание подействовало моментально, во время лечения постоянно спрашивала, всё ли в порядке. Пломба стоит идеально, даже не чувствуется, что зуб лечили.
24 февраля 2026 г.
1 2 3 4 5
Пришла к Елене Алексеевне с острой болью — оказалось, пульпит. Врач сразу успокоила, подробно объяснила план лечения в 2 этапа, без лишней терминологии. Всё прошло гладко: на первом приёме убрала воспаление, на втором поставила постоянную пломбу. Между приёмами дала чёткие инструкции — боль быстро прошла.
12 февраля 2026 г.
1 2 3 4 5
Делала у Елены Алексеевны профессиональную чистку зубов. Перед процедурой врач осмотрела зубы и десны, подобрала оптимальный метод (учитывала чувствительность эмали). Сама чистка прошла комфортно: никаких болезненных ощущений, только лёгкий дискомфорт в паре мест. После — полировка и фторирование. Результат отличный: зубы заметно светлее, налёт и камень полностью убрали.
    Помогите другим сделать правильный выбор — оставьте свой отзыв о докторе
    Написать отзыв

    Услуги стоматолога в других клиниках

    Терапевтическая стоматология
    Лечение кариеса от 3 500 ₽ до 10 500 ₽
    Лечение пульпита от 5 022 ₽ до 30 000 ₽
    Еще услуги