Трингорт Станислав Альбертович
Стаж
10 лет
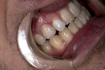
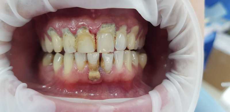
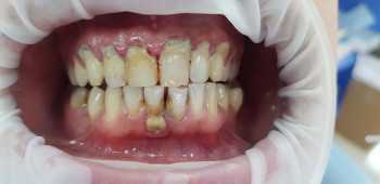
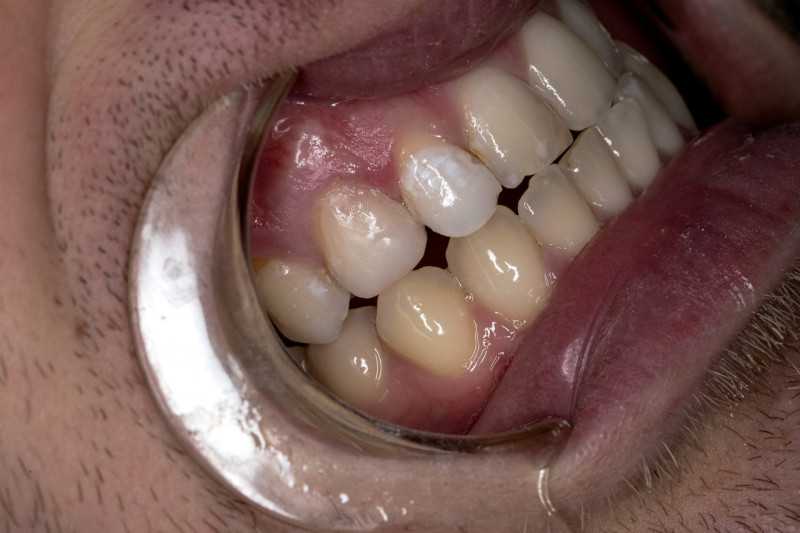
Трингорт Станислав Альбертович принимает в «Сеть стоматологических клиник ДЕНТАЛ КЛИНИК» в Красноярске. Стаж 10 лет. Специализируется на терапии и детской стоматологии, по которым клиника оказывает 24 услуги. Имеет 5 работ до/после в портфолио. Квалификация специалиста подтверждена 7 лицензиями, сертификатами и наградами. Для уточнения дополнительной информации о специалисте или записи на прием можно позвонить по телефону
+7 (391)Показать телефон
.
Где принимает:
-
Сеть стоматологических клиник ДЕНТАЛ КЛИНИК (DENTAL CLINIC) на Ярыгинской набережной ул. Ярыгинская набережная, д. 13Цена приема: бесплатно
-
Сеть стоматологических клиник ДЕНТАЛ КЛИНИК (DENTAL CLINIC) на Чернышевского ул. Чернышевского, д. 77Цена приема: бесплатно
-
Сеть стоматологических клиник ДЕНТАЛ КЛИНИК (DENTAL CLINIC) 78 Добровольческой Бригады ул. 78 Добровольческой Бригады, д. 26Цена приема: бесплатно
-
Сеть стоматологических клиник ДЕНТАЛ КЛИНИК (DENTAL CLINIC) на Урванцева ул. Урванцева, д. 30Цена приема: бесплатно
-
Сеть стоматологических клиник ДЕНТАЛ КЛИНИК (DENTAL CLINIC) на Тельмана ул. Тельмана, д. 30АЦена приема: бесплатно
-
Опыт 10 лет
7 сертификатов
5 работ в портфолио