Стоматолог Кароматуллоев Гуфрон Эхсонуллоевич — цены, отзывы, стаж — Принимает в Красноярске

Кароматуллоев Гуфрон Эхсонуллоевич

Кароматуллоев Гуфрон Эхсонуллоевич - фотография
стоматолог-терапевт
Стаж 6 лет
главный врач
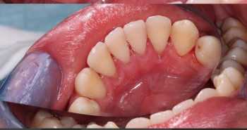
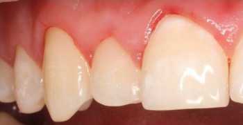
Кароматуллоев Гуфрон Эхсонуллоевич принимает в «Авторская клиника Доктора Гуфрона ЛАБОРАТОРИЯ УЛЫБОК» в Красноярске. Главный врач, стаж 6 лет. Специализируется на терапии, по которой клиника оказывает 4 услуги. Имеет 4 работы до/после в портфолио. Квалификация специалиста подтверждена 6 лицензиями, сертификатами и наградами. Для уточнения дополнительной информации о специалисте или записи на прием можно позвонить по телефону
+7 (999)Показать телефон
.

Где принимает:

6 сертификатов
Главный врач
4 работы в портфолио
Опыт 6 лет

Кароматуллоев Гуфрон Эхсонуллоевич: портфолио (4)

    Помогите другим сделать правильный выбор — оставьте свой отзыв о докторе
    Написать отзыв

    Услуги стоматолога в других клиниках

    Терапевтическая стоматология
    Лечение кариеса от 3 500 ₽ до 10 500 ₽
    Лечение пульпита от 5 082 ₽ до 30 000 ₽
    Еще услуги