Стоматолог Катюжанский Руслан Михайлович — цены, отзывы, стаж — Принимает в Красноярске

Катюжанский Руслан Михайлович

Катюжанский Руслан Михайлович - фотография
стоматолог-ортопед
стоматолог-хирург
стоматолог-имплантолог
Стаж 29 лет
Катюжанский Руслан Михайлович принимает в «Стоматологическая клиника АРТ-ДЕНТАЛЬ» в Красноярске. Стаж 29 лет. Специализируется на ортопедии, хирургии и имплантологии, по которым клиника оказывает 49 услуг. Имеет 3 работы до/после в портфолио. Для уточнения дополнительной информации о специалисте или записи на прием можно позвонить по телефону
+7 (3912)Показать телефон
.

Где принимает:

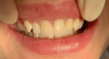
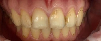
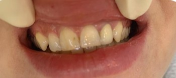
3 работы в портфолио
Опыт 29 лет

Катюжанский Руслан Михайлович: портфолио (3)

Отзывы о враче Катюжанский Руслан Михайлович

Почему нашим отзывам можно доверять?
3 апреля 2024 г.
1 2 3 4 5
В стоматологию хожу уже 10 лет.очень хороший стоматолог А.Самудинов(хорошо рвет и лечит зубы),ортопед Р.М.Катюжанский очень добросовестно делает свою работу.я очень довольна этой клиникой и всем знакомым ее советую.
    Помогите другим сделать правильный выбор — оставьте свой отзыв о докторе
    Написать отзыв

    Услуги стоматолога в других клиниках

    Эстетическая стоматология
    Установка виниров от 30 500 ₽ до 47 000 ₽
    Установка скайсов от 1 800 ₽ до 3 800 ₽
    Еще услуги
    Хирургическая стоматология
    Удаление зубов от 1 750 ₽ до 17 600 ₽
    Удаление кисты и гранулемы зуба от 617 ₽ до 15 000 ₽
    Еще услуги
    Протезирование зубов
    Установка коронки на зуб от 5 000 ₽ до 40 000 ₽
    Виды протезов
    Еще услуги
    Имплантация
    Установка мини-импланта от 10 000 ₽ до 28 000 ₽
    Коронки на имплантах от 15 400 ₽ до 77 000 ₽
    Еще услуги