Стоматолог Михайлова Татьяна Владимировна — цены, отзывы, стаж — Принимает в Красноярске

Михайлова Татьяна Владимировна

Михайлова Татьяна Владимировна - фотография

5.0
Рейтинг: 5.0
Отзывов: 20
Положительных: 20
Отрицательных: 0
Последний : 6 дн. назад
20 отзывов
1 место в рейтинге
стоматолог-терапевт
пародонтолог
Стаж 38 лет
врач высшей категории
Михайлова Татьяна Владимировна принимает в «Центр эстетической медицины РЕНОВАЦИО» в Красноярске. Врач высшей категории, стаж 38 лет. Специализируется на терапии и пародонтологии, по которым клиника оказывает 18 услуг. Имеет 3 работы до/после в портфолио. Опыт подтверждён 20 отзывами пациентов, из которых 20 положительные. Для уточнения дополнительной информации о специалисте или записи на прием можно позвонить по телефону
+7 (3912)Показать телефон
. Занимает 1 место в рейтинге стоматологов вашего города. Также 32top представляет форму онлайн расписания, через которую можно записаться к специалисту на свободную дату и время.

Где принимает:

1 место в рейтинге
Опыт 38 лет
Врач высшей категории
3 работы в портфолио

Отзывы о враче Михайлова Татьяна Владимировна

Рейтинг: 5
Отзывов: 20
Положительных: 20
Отрицательных: 0
Последний: 6 дн. назад
5.0
Пациенты отмечают:
Профессионализм
Вежливость
Подробные объяснения
Тщательный осмотр
Аккуратность
Лечение помогло
Почему нашим отзывам можно доверять?
После приема Пациент записывался в клинику через 32top. После приёма мы позвонили ему и получили отзыв.
в среду
1 2 3 4 5
Понравилось то, что клиника работает в выходной день. Записалась на прием к Михайловой Т.В. Очень довольна проведенной консультацией, врач опытная и внимательная. Очень подробно объяснила состояние моих десен, назначила лечение. Я прошла курс, результат есть, буду дальше продолжать лечение у этого врача.
После приема Пациент записывался в клинику через 32top. После приёма мы позвонили ему и получили отзыв.
20 апреля 2026 г.
1 2 3 4 5
Была в клинике на консультации и лечение у пародонтолога Татьяны Владимировны. Очень довольна лечением, профессиональный врач, достаточно уделила мне внимания, очень хорошо все объясняет. Буду пользоваться ее услугами при необходимости.
Добрый день. Благодарим Вас за отзыв. Нам очень приятно, что Вы остались довольны консультацией и лечением у Татьяны Владимировны. Мы рады, что Вы отметили её профессионализм, внимательное отношение и подробные объяснения. Будем рады помочь Вам снова при необходимости.
После приема Пациент записывался в клинику через 32top. После приёма мы позвонили ему и получили отзыв.
21 декабря 2025 г.
1 2 3 4 5
Была на профилактической консультации у ортодонта Михайловой Т.В. - впечатления исключительно положительные! Выбрала доктора, изучив отзывы в интернете, и не ошиблась. Внутри клиники приятная обстановка, персонал внимательный, цены на процедуры адекватные. Всё устроило: и подход врача, и организация приёма, и стоимость услуг. Готова начать лечение именно здесь!
Добрый день! Благодарим за такие добрые слова. Мы очень рады, что смогли оправдать Ваши ожидания и что Вы остались довольны визитом. Ваша обратная связь для нас очень ценна. Будем рады помочь Вам в будущем!
6 декабря 2025 г.
1 2 3 4 5
Хочу поделиться своими впечатлениями после консультации у Михайловой Татьяны Владимировны.С самого начала меня встретили очень приветливо и профессионально. Врач внимательно выслушала все мои жалобы и вопросы, что создало атмосферу доверия, подробно объяснила мне состояние моих десен.Особенно хочу отметить внимательность к деталям и заботу о комфорте пациента. Также мне понравилось, что врач не только лечит, но и обучает. Татьяна Владимировна дала полезные рекомендации по уходу за полостью рта и объяснила, как предотвратить проблемы в будущем. В целом, я осталась очень довольна консультацией и уверена, что попала к настоящему специалисту. Рекомендую этого врача всем, кто ищет качественную стоматологическую помощь!
Благодарим за Ваш замечательный отзыв! Мы рады слышать, что Вы остались довольны визитом и работой нашего врача. Профессионализм и внимательность к каждому пациенту — наши приоритеты. Ваше здоровье и комфорт для нас на первом месте, и мы рады, что смогли оправдать Ваши ожидания. Будем рады видеть Вас снова!
10 ноября 2025 г.
1 2 3 4 5
Прием прошёл отлично, доктор сделала чистку, назначила лечение.
Михайлова Татьяна Владимировна
18 ноября 2025 г.
Добрый день! Спасибо Вам за отзыв. Очень рады, что приём прошёл спокойно и комфортно. Замечательно, что удалось провести чистку и определить дальнейший план заботы о зубах. Пусть лечение проходит легко, а улыбка только радует вас каждый день!
После приема Пациент записывался в клинику через 32top. После приёма мы позвонили ему и получили отзыв.
30 сентября 2025 г.
1 2 3 4 5
Консультировалась у пародонтолога Михайловой Т.В. Пока лечение не потребовалось, но в следующий раз обращусь именно к ней. Выбрала её по отзывам в интернете. Зона ожидания очень комфортная, меня приняли ровно в назначенное время. Стоимость консультации была адекватной. Я уверена, что могу доверять этому специалисту - обязательно обращусь к ней на процедуры!
Добрый день! Благодарим за Ваш отзыв! Мы рады, что смогли помочь Вам и что Вы остались довольны нашей работой. Ваше здоровье и комфорт – наш главный приоритет. Будем рады видеть Вас снова!
9 сентября 2025 г.
1 2 3 4 5
Доктор очень приятный, я не эксперт, но работа выполняется на все 5++, что не мало важно, после выполнения процедуры, вручая пациенту "золотое зеркало", доктор осматривает работу вместе с пациентом, демонстрируя результат, что для любого пациента очень важно. По приходу на прием, доктор обращает внимание на гигиену зубов : лучше - хуже, что тоже, я думаю, большой плюс. Не могу не отметить " вайб " в кабинете доктора, впечатление будто приходишь к другу, ощущается эмоциональная свобода, разгрузка, можно хорошо посмеяться.
После приема Пациент записывался в клинику через 32top. После приёма мы позвонили ему и получили отзыв.
29 августа 2025 г.
1 2 3 4 5
10 лет обращаюсь в эту клинику - всегда безупречное обслуживание! В этот раз была на профессиональной чистке у доктора Михайловой Татьяны - как всегда, всё на высшем уровне. Уютная атмосфера, доброжелательный и профессиональный персонал, адекватные цены.
Добрый день! Благодарим Вас за теплые слова и высокую оценку нашего специалиста. Мы рады, что Вам понравился наш сервис и профессионализм команды. Ждем Вас на следующих визитах!
21 июля 2025 г.
1 2 3 4 5
Хотелось бы поблагодарить Врача за очень теплый прием, записалась на чистку зубов по рекомендации от знакомых, процедура прошла комфортно, безболезненно, Врач профессионал своего дела также хочу отметить работу ассистента, очень приветливая девушка буду записываться еще и рекомендовать своим знакомым
Благодарим, что поделились своим опытом! Наши врачи действительно обладают высокой квалификацией и регулярно повышают уровень своих знаний, чтобы обеспечивать качественное обслуживание пациентов. Мы рады, что Вы остались довольны результатом. Здоровье наших пациентов для нас – главный приоритет!
После приема Пациент записывался в клинику через 32top. После приёма мы позвонили ему и получили отзыв.
16 июля 2025 г.
1 2 3 4 5
Доктор Михайлова сделала мне фторирование зубов - я осталась в полном восторге! Не зря обратилась целенаправленно именно к ней - нашла специалиста по отзывам в интернете. Персонал доброжелательный, приняли ровно в назначенное время. По цене как договаривались - так и вышло. Буду рада снова посетить этого специалиста!
Добрый день! Благодарим за такие добрые слова. Мы очень рады, что смогли оправдать Ваши ожидания и что Вы остались довольны визитом. Ваша обратная связь для нас очень ценна. Будем рады помочь Вам в будущем!
    Помогите другим сделать правильный выбор — оставьте свой отзыв о докторе
    Написать отзыв

    Услуги врача (11)

    Терапевтическая стоматология
    Лечение периодонтита
    Пародонтология
    Лечение пародонтита
    Лечение пародонтоза
    Лечение аппаратом Вектор
    от 605 ₽ в области 1 зуба
    Еще услуги
    Все цены носят ознакомительный характер. Точную цену вы сможете получить только после консультации специалиста.
    Звоните по телефону:
    +7 (3912)Показать телефон

    О стоматологе

    Ведущий пародонтолог Красноярского края.
    Более десяти лет занимается лечением тяжелых форм пародонтита, за это время добилась стойких результатов и стадии длительной ремиссии более чем у 80% пациентов.

    Наблюдение в динамики за сложными случаями, проведение диагностики с применением аппарата Florida Probe.

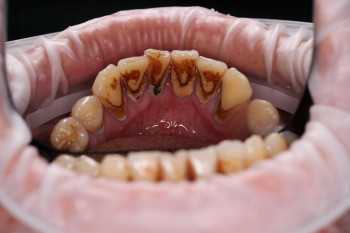
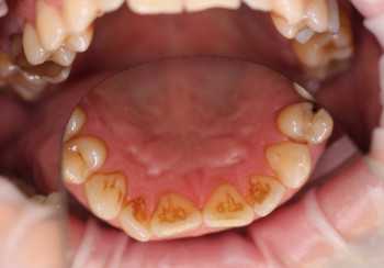
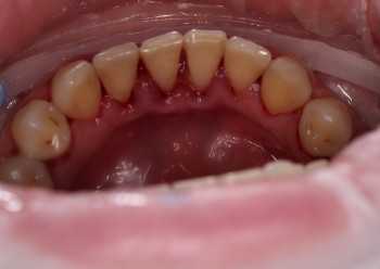
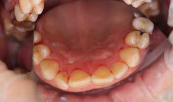
    Михайлова Татьяна Владимировна: портфолио (3)

    Акции и скидки клиники РЕНОВАЦИО (4)