Стоматолог Антипова Ирина Михайловна — цены, отзывы, стаж — Принимает в Красноярске

Антипова Ирина Михайловна

Антипова Ирина Михайловна - фотография

5.0
Рейтинг: 5.0
Отзывов: 3
Положительных: 3
Отрицательных: 0
Последний : 298 дн. назад
3 отзыва
стоматолог-терапевт
стоматолог-эндодонтист
Стаж 34 года
врач высшей категории
Антипова Ирина Михайловна принимает в «Центр эстетической медицины РЕНОВАЦИО» в Красноярске. Врач высшей категории, стаж 34 года. Специализируется на терапии и эндодонтическом лечении, по которым клиника оказывает 15 услуг. Для уточнения дополнительной информации о специалисте или записи на прием можно позвонить по телефону
+7 (3912)Показать телефон
. Занимает 8 место в рейтинге стоматологов-эндодонтистов 32top в вашем городе. Также 32top представляет форму онлайн расписания, через которую можно записаться к специалисту на свободную дату и время.

Где принимает:

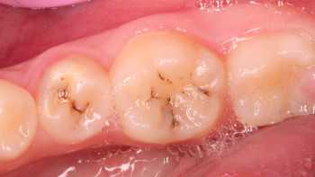
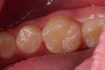
1 работа в портфолио
Врач высшей категории
Опыт 34 года

Отзывы о враче Антипова Ирина Михайловна

Рейтинг: 5
Отзывов: 3
Положительных: 3
Отрицательных: 0
Последний: 298 дн. назад
5.0
Пациенты отмечают:
Профессионализм
Подробные объяснения
Тщательный осмотр
Почему нашим отзывам можно доверять?
19 июля 2025 г.
1 2 3 4 5
Была на приёме у Антиповой Ирины Михайловна, очень довольна лечением, быстро, безболезненно, пришла по рекомендации! Ирина Михайловна все доступно рассказала, пригласила на проф осмотр, врача рекомендую. В клинике хорошо и уютно!
Благодарим вас за добрые слова! Очень рады, что смогли помочь Вам быстро и эффективно. Обезболивание и комфорт — приоритет для нас на каждом этапе. Желаем вам крепкого здоровья и больше поводов для улыбки!
30 января 2024 г.
1 2 3 4 5
Была у врача Антиповой Ирины Михайловны,подшлифовала зуб и десна успокоилась,очень была рада,ушел дискомфорт.
Добрый день! благодарим Вас за высокую оценку! Приходите обязательно на профилактический осмотр!
После приема Пациент записывался в клинику через 32top. После приёма мы позвонили ему и получили отзыв.
28 июля 2023 г.
1 2 3 4 5
Очень хорошая клиника, посещаем всей семьей, сама лечилась и детей приводила. Лечила не только кариес, но и устанавливала импланты, сделали все на отлично. У нас есть постоянный доктор Антипова Ирина у нее лечим кариес, а операцию по имплантам мне делали Чанчиков Вадим и Николаенко Максим. Благодарна им за хорошую работу.
Добрый день! Рады Вашему отзыву, приходите обязательно на профилактический осмотр!
    Помогите другим сделать правильный выбор — оставьте свой отзыв о докторе
    Написать отзыв

    Услуги врача (14)

    Терапевтическая стоматология
    Лечение кариеса
    Лечение кариеса ICON
    Лечение пульпита
    Еще услуги
    Все цены носят ознакомительный характер. Точную цену вы сможете получить только после консультации специалиста.
    Звоните по телефону:
    +7 (3912)Показать телефон

    О стоматологе

    Работает в компании с самого ее основания, имеет многолетний опыт успешной работы.

    Владеет техникой лечения зубов под наркозом, эстетической реставрацией центральных зубов, изготовлением адгезивных конструкций во фронтальном отделе при отсутствии возможности протезирования в данный период времени.

    Антипова Ирина Михайловна: портфолио (1)

    Акции и скидки клиники РЕНОВАЦИО (4)