Стоматолог Нетесова Олеся Александровна — цены, отзывы, стаж — Принимает в Красноярске

Нетесова Олеся Александровна

Нетесова Олеся Александровна - фотография

5.0
Рейтинг: 5.0
Отзывов: 5
Положительных: 5
Отрицательных: 0
Последний : 340 дн. назад
5 отзывов
стоматолог-ортодонт
Стаж 24 года
врач высшей категории
Нетесова Олеся Александровна принимает в «Центр эстетической медицины РЕНОВАЦИО» в Красноярске. Врач высшей категории, стаж 24 года. Специализируется на ортодонтии, по которой клиника оказывает 3 услуги. Для уточнения дополнительной информации о специалисте или записи на прием можно позвонить по телефону
+7 (3912)Показать телефон
. Занимает 9 место в рейтинге стоматологов-ортодонтов 32top в вашем городе. Также 32top представляет форму онлайн расписания, через которую можно записаться к специалисту на свободную дату и время.

Где принимает:

Врач высшей категории
Опыт 24 года
1 работа в портфолио

Отзывы о враче Нетесова Олеся Александровна

Рейтинг: 5
Отзывов: 5
Положительных: 5
Отрицательных: 0
Последний: 340 дн. назад
5.0
Почему нашим отзывам можно доверять?
После приема Пациент записывался в клинику через 32top. После приёма мы позвонили ему и получили отзыв.
7 июня 2025 г.
1 2 3 4 5
После консультации у стоматолога-ортодонта Олеси Александровны по брекетам, внучка и начала лечение. Доктор компетентная, уважительная, вызывает доверие. Выбирали среди нескольких клиник по отзывам, сюда смогли записаться оперативно, долго не ждали. Приятная обстановка, доброжелательные администраторы - приняли даже раньше запланированного времени. По финансам - цена нас устроила, есть клиники и дороже. Очень довольны выбором!
Благодарим, что поделились своим опытом! Наши врачи действительно обладают высокой квалификацией и регулярно повышают уровень своих знаний, чтобы обеспечивать качественное обслуживание пациентов. Мы рады, что Вы остались довольны результатом. Здоровье наших пациентов для нас – главный приоритет!
После приема Пациент записывался в клинику через 32top. После приёма мы позвонили ему и получили отзыв.
21 ноября 2024 г.
1 2 3 4 5
С клиникой этой взаимодействую довольно приличное время. Изначально хотела ставить брекеты, и даже обратилась в одну клинику на консультацию, где ме порекомендовали удалить премоляры (как позже выяснится, этого делать не нужно было). Позже собственно обратилась сюда, где ужаснулись такому варварсокму подходу и начали действительно помогать. Доктор Нетесова Олеся Александровна буквально собирала челюсть по частям, закончили ортодонтическое лечние мы с ней очень хорошо, теперь ношу ретейнеры, продолжаю взаимодействие с этим доктором.
Добрый день! Благодарим за Ваш отзыв! Мы рады, что смогли помочь Вам и что Вы остались довольны нашей работой. Ваше здоровье и комфорт – наш главный приоритет. Будем рады видеть Вас снова!
После приема Пациент записывался в клинику через 32top. После приёма мы позвонили ему и получили отзыв.
6 ноября 2024 г.
1 2 3 4 5
Посещали филиал на улице Весны, брали консультацию у врача ортодонта Олеси Александровны. Нужно было определиться, ставить ли брекеты и вообще возможны ли другие варианты выравнивания прикуса. Нас полностью устроило, как нас встретили и персонал и доктор, сама беседа тоже проходила корректно, провели осмотр, рассказали про детали и нюансы, никаких вопросов у нас не осталось. Быстро, качественно, организованно. Спасибо!
Добрый день! Благодарим Вас за отзыв и добрые слова! Нам очень приятно, что консультация у Олеси Александровны оставила у Вас положительные впечатления. Мы стараемся, чтобы каждый визит проходил комфортно и информативно, и рады, что смогли ответить на все ваши вопросы. Спасибо, что выбрали нас, будем рады видеть Вас снова!
3 июля 2023 г.
1 2 3 4 5
В клинике проходим лечение всей семьей, на протяжении уже многих лет. И родители мои и родственники, знакомые уже многим рекомендовала все довольны. Хорошее качество лечение, обслуживание. Хочу отметить Анну Копылову, Олесю Нетесову чаще всего хочется попасть на прием к этим врачам.
Добрый день! Спасибо за Ваш отзыв и высокую оценку! Ждем Вас снова!
Добрый день! спасибо Вам за отзыв! Ждем Вас на профилактический осмотр!
8 июля 2021 г.
1 2 3 4 5
После долгих раздумий и консультаций, решился на установку брекетов. Причина - стираемость зубов нижней челюсти (до десен). По совету/рекомендации, лечусь у Олеси Александровны! Общение с врачом и результаты лечения приносят удовлетворение своими результатами, благодаря профессионализму и что не менее важно - внимания и тактичности врача. Я пациент чуть за 50!
    Помогите другим сделать правильный выбор — оставьте свой отзыв о докторе
    Написать отзыв

    Услуги врача (13)

    Ортодонтия
    Установка брекетов
    Снятие брекетов
    от 6 000 ₽ за 1 челюсть
    Установка элайнеров
    Еще услуги
    Все цены носят ознакомительный характер. Точную цену вы сможете получить только после консультации специалиста.
    Звоните по телефону:
    +7 (3912)Показать телефон

    О стоматологе

    Специализируется на исправлении прикуса и зубного ряда эстетическими брекет-системами. Помогает пациентам добиться высоких эстетических результатов.
    Ведет сложные случаи патологий скелетной формы.

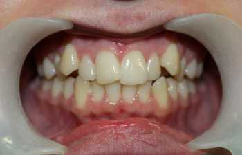
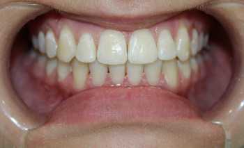
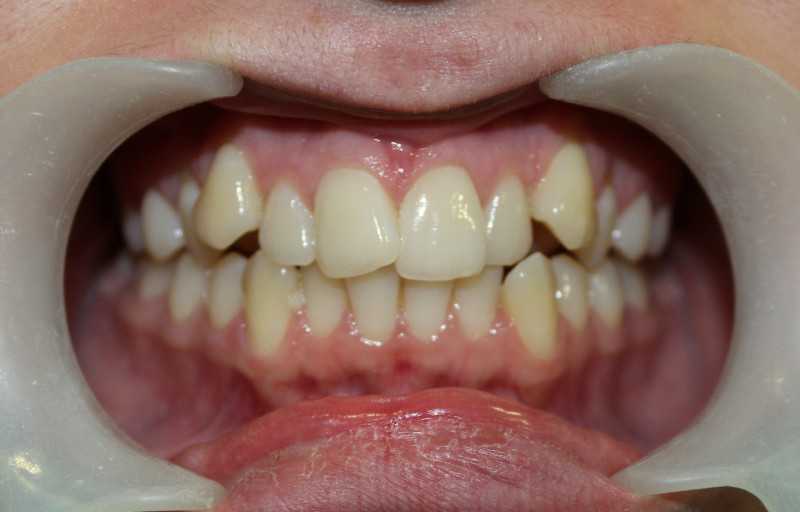
    Нетесова Олеся Александровна: портфолио (1)

    Акции и скидки клиники РЕНОВАЦИО (4)