Стоматолог Карепов Марат Русланович — цены, отзывы, стаж — Принимает в Красноярске

Карепов Марат Русланович

Карепов Марат Русланович - фотография
стоматолог-хирург
Стаж 15 лет
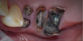
Карепов Марат Русланович принимает в «Сеть стоматологических клиник ДЕНТАС» в Красноярске. К.м.н., стаж 15 лет. Специализируется на хирургии, по которой клиника оказывает 3 услуги. Имеет 5 работ до/после в портфолио. Для уточнения дополнительной информации о специалисте или записи на прием можно позвонить по телефону
+7 (3912)Показать телефон
.

Где принимает:

Опыт 15 лет
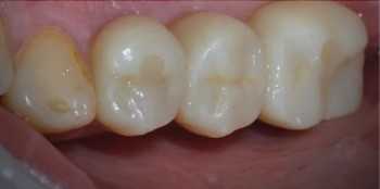
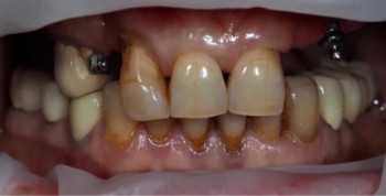
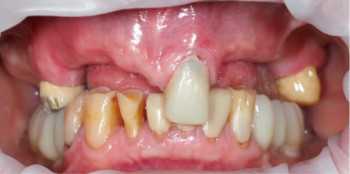
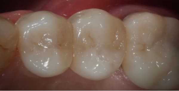
5 работ в портфолио
Кандидат мед.наук

Карепов Марат Русланович: портфолио (5)

    Помогите другим сделать правильный выбор — оставьте свой отзыв о докторе
    Написать отзыв

    Услуги стоматолога в других клиниках

    Хирургическая стоматология
    Удаление зубов от 1 750 ₽ до 17 600 ₽
    Удаление кисты и гранулемы зуба от 617 ₽ до 15 000 ₽
    Еще услуги