Стоматолог Шакирьянова Айгуль Рамисовна — цены, отзывы, стаж — Принимает в Набережных Челнах

Шакирьянова Айгуль Рамисовна

Шакирьянова Айгуль Рамисовна - фотография

5.0
Рейтинг: 5.0
Отзывов: 9
Положительных: 9
Отрицательных: 0
Последний : 43 дн. назад
9 отзывов
1 место в рейтинге
стоматолог-гигиенист
Стаж 9 лет
Шакирьянова Айгуль Рамисовна принимает в «Стоматологическая клиника АВЕДЕНТ» в Набережных Челнах. Стаж 9 лет. Специализируется на гигиене полости рта, по которой клиника оказывает 2 услуги. Имеет 3 работы до/после в портфолио. Для уточнения дополнительной информации о специалисте или записи на прием можно позвонить по телефону
+7 (8552)Показать телефон
. Занимает 1 место в рейтинге стоматологов-гигиенистов 32top в вашем городе. Также 32top представляет форму онлайн расписания, через которую можно записаться к специалисту на свободную дату и время.

Где принимает:

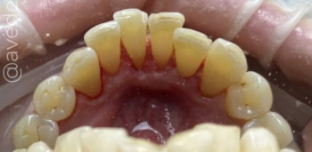
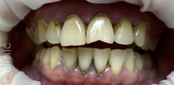
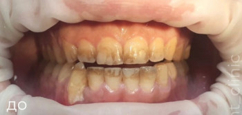
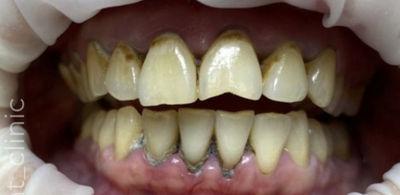
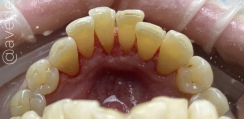
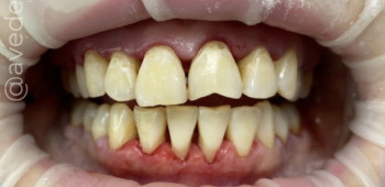
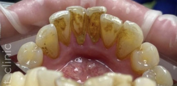
3 работы в портфолио
Опыт 9 лет
1 место в рейтинге

Отзывы о враче Шакирьянова Айгуль Рамисовна

Рейтинг: 5
Отзывов: 9
Положительных: 9
Отрицательных: 0
Последний: 43 дн. назад
5.0
Пациенты отмечают:
Профессионализм
Вежливость
Подробные объяснения
Тщательный осмотр
Аккуратность
Лечение помогло
Почему нашим отзывам можно доверять?
После приема Пациент записывался в клинику через 32top. После приёма мы позвонили ему и получили отзыв.
4 апреля 2026 г.
1 2 3 4 5
Выбирала клинику в шаговой доступности. Сделала гигиеническую чистку всех зубов у Айгуль Рамисовны. Очень хорошая врач, такая внимательная, очень аккуратно прочистила каждый зуб, качеством довольна. В конце дала рекомендации по средствам гигиены.
17 февраля 2026 г.
1 2 3 4 5
Делала гигиеническую чистку зубов у Шакирьяновой Айгуль Рамисовны. Все прошло хорошо, зубы сейчас без налета и зубных отложений,гладкие и белые. Айгуль Рамисовна отличный специалист,профессионал своего дела. Спасибо Вам,Айгуль Рамисовна ! Отдельная благодарность ассистенту Веронике
15 ноября 2025 г.
1 2 3 4 5
Давно являюсь клиентом Айгуль Рамисовны Все на высшем уровне! Рекомендую!
Спасибо за ваш отзыв,будем рады видеть вас снова)
18 октября 2025 г.
1 2 3 4 5
Была на приеме в клинике Аведент на приеме гигиена полости рта у Шакирьяновой Айгуль Рамисовны. Айгуль Рамисова качественно выполнила свою работу, очень чистые зубы после процедуры! Внимательно выслушала вопросы и дала на них ответы. В следующий раз непременно только к ней на гигиену полости рта!
После приема Пациент записывался в клинику через 32top. После приёма мы позвонили ему и получили отзыв.
6 июля 2025 г.
1 2 3 4 5
Позвонила в клинику, записали на прием к стоматологу Шакирьяновой А.Р. Отличный врач, очень профессионально подходит к лечению, сначала делает диагностику, осмотр, все внимательно изучит и посмотрит, а потом лечит. Лечение сделала на отлично, качеством довольна. Я уже рекомендовала ее своей сестре, она тоже осталась довольна ее услугами.
16 июня 2025 г.
1 2 3 4 5
Лучшая клиника "Аведент", хороший врач Айгуль Радиковна!
Добрый день! Спасибо, нам очень приятно!
После приема Пациент записывался в клинику через 32top. После приёма мы позвонили ему и получили отзыв.
17 мая 2025 г.
1 2 3 4 5
Визит прошёл отлично. Особенно хочу отметить Айгуль Рамисовну. Профессионализм и отношение к пациенту на высшем уровне. Большое ей спасибо.
Добрый день. Спасибо,что оценили компетентность наших врачей.Ждем вас на гигиеническую чистку снова)
Добрый день! Передадим ваш отзыв врачу! Будем рады видеть вас снова!)
31 марта 2025 г.
1 2 3 4 5
На ресепшене приветливые сотрудники, благодарю за работу Айгуль Рамисовну.
Добрый день! Благодарим за отзыв!)
28 марта 2025 г.
1 2 3 4 5
Прекрасная клиника, всегда все вовремя и качественно. Делаю гигиеническую чистку у доктора Айгуль Рамисовны - всегда заботлива и вежлива! Рекомендую!
Добрый день! Передадим ваш отзыв врачу!) Будем рады видеть вас снова!
    Помогите другим сделать правильный выбор — оставьте свой отзыв о докторе
    Написать отзыв

    Услуги врача (7)

    Профгигиена
    Комплексная гигиена полости рта
    от 4 500 ₽ до 6 500 ₽ вся полость
    Чистка зубов Air-flow
    Восстановление эмали зубов
    Еще услуги
    Все цены носят ознакомительный характер. Точную цену вы сможете получить только после консультации специалиста.
    Звоните по телефону:
    +7 (8552)Показать телефон

    Шакирьянова Айгуль Рамисовна: портфолио (3)

    Акции и скидки клиники АВЕДЕНТ (1)