Стоматолог Лобжанидзе Илья Иванович — цены, отзывы, стаж — Принимает в Нальчике

Лобжанидзе Илья Иванович

Лобжанидзе Илья Иванович - фотография
стоматолог-ортопед
стоматолог-хирург
Стаж 12 лет
Лобжанидзе Илья Иванович принимает в «Стоматологическая клиника ПРЕЗИДЕНТ» в Нальчике. Стаж 12 лет. Специализируется на ортопедии и хирургии. Имеет 6 работ до/после в портфолио. Для уточнения дополнительной информации о специалисте или записи на прием можно позвонить по телефону
+7 (8662)Показать телефон
.

Где принимает:

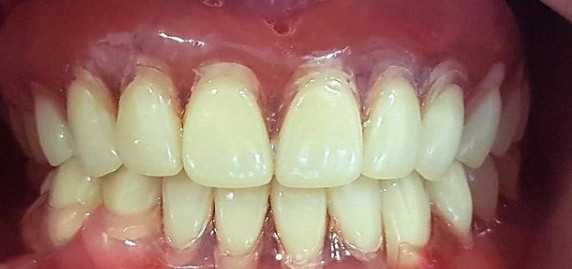
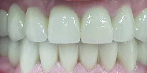
6 работ в портфолио
Опыт 12 лет

Лобжанидзе Илья Иванович: портфолио (6)

    Помогите другим сделать правильный выбор — оставьте свой отзыв о докторе
    Написать отзыв

    Услуги стоматолога в других клиниках

    Протезирование зубов
    Виды протезов
    Установка бюгельного протеза
    от 30 000 ₽ до 40 000 ₽
    Еще услуги