Стоматолог Курбанов Ислам Мурадович — цены, отзывы, стаж — Принимает в Нижневартовске

Курбанов Ислам Мурадович

Курбанов Ислам Мурадович - фотография
стоматолог-ортопед
Стаж 9 лет
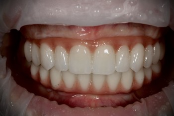
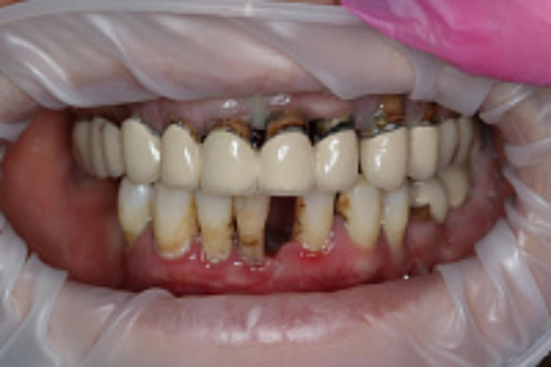
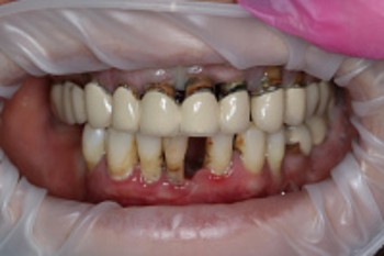
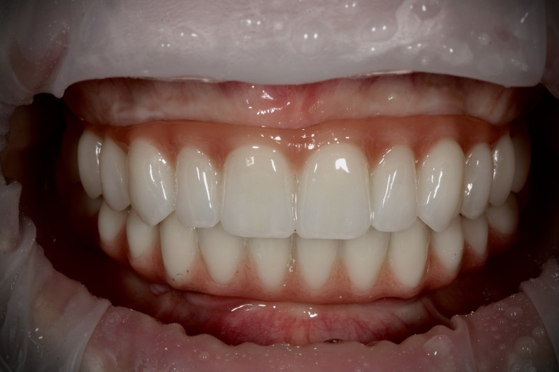
Курбанов Ислам Мурадович принимает в «Стоматологическая клиника ЭСТЕТ» в Нижневартовске. Стаж 9 лет. Специализируется на ортопедии, по которой клиника оказывает 16 услуг. Имеет 2 работы до/после в портфолио. Для уточнения дополнительной информации о специалисте или записи на прием можно позвонить по телефону
+7 (3466)Показать телефон
.

Где принимает:

Опыт 9 лет
2 работы в портфолио
    Помогите другим сделать правильный выбор — оставьте свой отзыв о докторе
    Написать отзыв

    Услуги врача (27)

    Протезирование зубов
    Установка коронки на зуб
    Установка протеза Акри Фри (Acry-Free)
    Ремонт зубных протезов
    от 6 000 ₽ до 7 200 ₽ за 1 шт.
    Еще услуги
    Все цены носят ознакомительный характер. Точную цену вы сможете получить только после консультации специалиста.
    Звоните по телефону:
    +7 (3466)Показать телефон

    Курбанов Ислам Мурадович: портфолио (2)

    Акции и скидки клиники ЭСТЕТ (2)