Стоматолог Шлямов Артем Евгеньевич — цены, отзывы, стаж — Принимает в Нижнем Новгороде

Шлямов Артем Евгеньевич

Шлямов Артем Евгеньевич - фотография
стоматолог-ортопед
Стаж 15 лет
Шлямов Артем Евгеньевич принимает в «Стоматологический центр ФЭМИЛИ» в Нижнем Новгороде. Стаж 15 лет. Специализируется на ортопедии. Имеет 3 работы до/после в портфолио. Квалификация специалиста подтверждена 33 лицензиями, сертификатами и наградами. Для уточнения дополнительной информации о специалисте или записи на прием можно позвонить по телефону
+7 (831)Показать телефон
.

Где принимает:

33 сертификата
3 работы в портфолио
Опыт 15 лет
    Помогите другим сделать правильный выбор — оставьте свой отзыв о докторе
    Написать отзыв

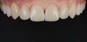
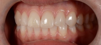
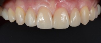
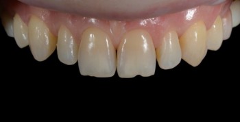
    Шлямов Артем Евгеньевич: портфолио (3)

    Услуги стоматолога в других клиниках

    Протезирование зубов
    Установка коронки на зуб от 6 150 ₽ до 60 000 ₽
    Установка протеза Акри Фри (Acry-Free) от 25 190 ₽ до 51 875 ₽
    Еще услуги