Стоматолог Сиромаха Денис Викторович — цены, отзывы, стаж — Принимает в Нижнем Новгороде

Сиромаха Денис Викторович

Сиромаха Денис Викторович - фотография

5.0
Рейтинг: 5.0
Отзывов: 8
Положительных: 8
Отрицательных: 0
Последний : 27 дн. назад
8 отзывов
ТОП-10 в рейтинге
стоматолог-терапевт
стоматолог-хирург
Стаж 14 лет
Сиромаха Денис Викторович принимает в «Центр имплантации и профессиональной стоматологии ДЕНТАЛ СТУДИО ПРО» в Нижнем Новгороде. Стаж 14 лет. Специализируется на терапии и хирургии, по которым клиника оказывает 24 услуги. Имеет 6 работ до/после в портфолио. Для уточнения дополнительной информации о специалисте или записи на прием можно позвонить по телефону
+7 (8312)Показать телефон
. Занимает 4 место в рейтинге стоматологов вашего города.

Где принимает:

Топ 10 в рейтинге
Опыт 14 лет
6 работ в портфолио

Отзывы о враче Сиромаха Денис Викторович

Рейтинг: 5
Отзывов: 8
Положительных: 8
Отрицательных: 0
Последний: 27 дн. назад
5.0
Почему нашим отзывам можно доверять?
После приема Пациент записывался в клинику через 32top. После приёма мы позвонили ему и получили отзыв.
15 апреля 2026 г.
1 2 3 4 5
Вылечила зуб у Дениса Викторовича С. Всем довольна, врач опытный, внимательный, приятный в общении, подробно рассказал, как будет проходить лечение. Лечение прошло без боли, поставил качественную пломбу и убрал кариес.
После приема Пациент записывался в клинику через 32top. После приёма мы позвонили ему и получили отзыв.
30 сентября 2025 г.
1 2 3 4 5
Делала профессиональную чистку у доктора Сиромахи - всё отлично! Корректный, адекватный, аккуратный доктор - порадовал своей работой. Всё объясняет в процессе лечения, спрашивает всё ли хорошо. Буду дальше лечить зубы только у этого специалиста! Клинику выбрала по рейтингу в интернете - нисколько не разочаровалась в выборе. Обстановка комфортная, принимают быстро без задержек, да и цены разумные.
Спасибо за такой тёплый отзыв о работе доктора и клиники в целом. Мы очень рады, что профессиональная чистка оставила у вас приятные впечатления, а атмосфера и сервис оправдали ожидания. Ждём вас снова! С уважением, DENTAL STUDIO PRO
2 июля 2025 г.
1 2 3 4 5
Мне очень нравится, как работает доктор Сиромаха. Внимательный, всё понятно объясняет. У меня был сложный зуб – другие врачи не могли с ним справиться: пломбы выпадали, еда застревала. А он учёл все мои страхи, сделал всё аккуратно – и теперь пломба держится отлично! Пока никаких проблем.
Спасибо за такой тёплый отзыв! Мы очень рады, что доктор Сиромаха смог решить вашу сложную проблему после неудачных попыток лечения. Особенно ценно, что вы отметили его внимательность и умение объяснять – это действительно важно в нашей работе. С уважением, DENTAL STUDIO PRO
19 декабря 2024 г.
1 2 3 4 5
Я уже не первый раз обращаюсь в эту клинику, и каждый раз качество услуг остается на высочайшем уровне. Доктор Сиромаха Д.В. проявил себя как настоящий профессионал: он очень внимательно и аккуратно избавил мой чувствительный зуб от коррозии. Недавно я также была у него на профгигиене полости рта и осталась в полном восторге! В другой клинике мне делали чистку болезненно и некачественно, но здесь все прошло идеально — без боли и с отличным результатом. Отдельно хочется отметить уютную атмосферу в клинике и вежливых, приветливых администраторов. Каждый визит сюда приносит только положительные эмоции. Спасибо за ваш профессионализм и заботу! Рекомендую эту клинику всем, кто ценит комфорт и качество!
Спасибо за ваше доверие и такой тёплый отзыв! Мы искренне рады, что каждый визит к доктору Сиромахе приносит вам только положительные эмоции и отличные результаты. Особенно ценно, что вы отметили нашу работу с чувствительными зубами – для нас важно, чтобы лечение было не только эффективным, но и комфортным. Ваши рекомендации – лучшая награда! Ждём вас снова и обещаем поддерживать высокий уровень сервиса. Пусть ваша улыбка всегда остаётся здоровой! С уважением, DENTAL STUDIO PRO
После приема Пациент записывался в клинику через 32top. После приёма мы позвонили ему и получили отзыв.
11 февраля 2024 г.
1 2 3 4 5
Потребовалась пломбировка зуба, решил по совету знакомых сходить сюда, в эту клинику. Принимал Сиромаха Денис - качественно поставил пломбу, красиво и функционально. Одна проблема - для меня дороговато, но соотношение соотношению цена/качество оцениваю как хорошее.
Спасибо за вашу оценку! По статистике, наши пломбы не выпадают и не меняют цвет со временем. Большинство пациентов приходят к нам за переделкой после более *дешевых* клиник. А все потому, что мы используем самые топовые импортные материалы, в том числе адгезив (или *клей*) для постановки пломб. На данные материалы цена более чем оправдана. Врачи и средний персонал постоянно обучаются, чтобы выдавать лучшее качество. Очень надеемся, что ваш зуб будет служить вам без переделок долгие годы! С уважением, Dental Studio Pro
После приема Пациент записывался в клинику через 32top. После приёма мы позвонили ему и получили отзыв.
18 июля 2023 г.
1 2 3 4 5
Посоветовали клинику многие знакомые, поэтому решил записаться сначала на осмотр, профчистку, а потом и на лечение кариеса. Денис Сиромаха провёл очень качественный осмотр и лечение, сделал всё аккуратно и красиво, меня всё устроило. Скоро пойду сюда ещё.
Здравствуйте! Благодарим Вас за выбор нашей клиники! До новых встреч! DENTAL STUDIO PRO
После приема Пациент записывался в клинику через 32top. После приёма мы позвонили ему и получили отзыв.
21 июня 2023 г.
1 2 3 4 5
Всё понравилось, было удаление зуба, Сиромаха Денис Викторович отлично справился, хороший персонал, удобная зона ожидания. В клинику пойду ещё.
Добрый день! Спасибо за ваш отзыв и высокую оценку! Ждем вас снова! DENTAL STUDIO PRO
25 июня 2021 г.
1 2 3 4 5
Посещала клинику один раз и осталась очень довольна. Сервис на высшем уровне, в клинике чисто, приятно. Врач Денис Викторович профессионал своего дела, внимательно отнесся и комментировал весь процесс. Есть с чем сравнить, поэтому на лечение вернусь только сюда.
Добрый день! Спасибо, что поделились своим отзывом. Рады, что визит в центр имплантации оставил положительные эмоции. Мы делаем всё возможное, чтобы каждый пациент оставался доволен на все 100%. С пожеланием здоровья, администрация центра имплантации DENTAL STUDIO PRO.
    Помогите другим сделать правильный выбор — оставьте свой отзыв о докторе
    Написать отзыв

    Услуги врача (32)

    Терапевтическая стоматология
    Лечение кариеса
    от 6 500 ₽ за 1 зуб
    Лечение кариеса ICON
    Лечение пульпита
    от 10 000 ₽ за 1 зуб
    Еще услуги
    Хирургическая стоматология
    Удаление зубов
    от 1 900 ₽ за 1 зуб
    Удаление зуба мудрости
    от 10 000 ₽ за 1 зуб
    Сложное удаление зуба
    от 8 000 ₽ за 1 зуб
    Еще услуги
    Все цены носят ознакомительный характер. Точную цену вы сможете получить только после консультации специалиста.
    Звоните по телефону:
    +7 (8312)Показать телефон

    О стоматологе

    В совершенстве владеет всеми методами реставрации зубов (в том числе композитными винирами), пломбированием корневых каналов, а также и популярными на сегодняшний день методиками отбеливания зубов, профессиональной 3-х этапной чистки зубов, ремотерапии и фторирования эмали. Удаляет зубы любой сложности (в том числе ретенированне и полуретенированные восьмерки).

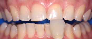
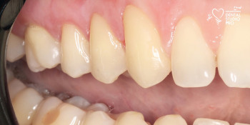
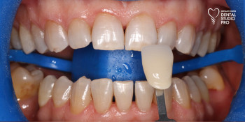
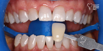
    Сиромаха Денис Викторович: портфолио (6)

    Акции и скидки клиники ДЕНТАЛ СТУДИО ПРО (4)