Фото до и после по услуге Установка коронки на зуб в клиниках Нижнего Новгорода

Фотографии до и после: Установка коронки на зуб

На странице представлено портфолио стоматологий Нижнего Новгорода с фото работ до и после установки зубных коронок. Показываем, как можно полностью восстановить форму разрушенного зуба и эстетичный вид улыбки. На странице собраны разные клинические случаи восстановления одиночными коронками из металлокерамики, циркония или керамики. Изучите результаты до и после процедуры и выберите подходящую клинику для восстановления зуба в Нижнем Новгороде.

Центр имплантации и профессиональной стоматологии ДЕНТАЛ СТУДИО ПРО (DENTAL STUDIO PRO)

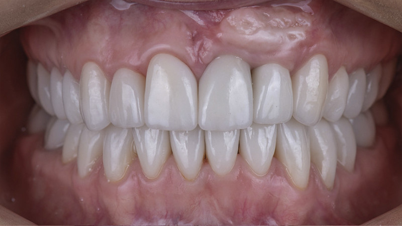
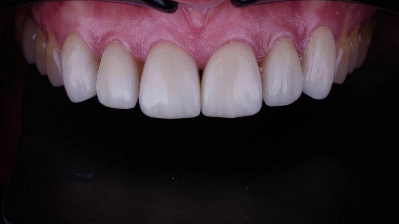
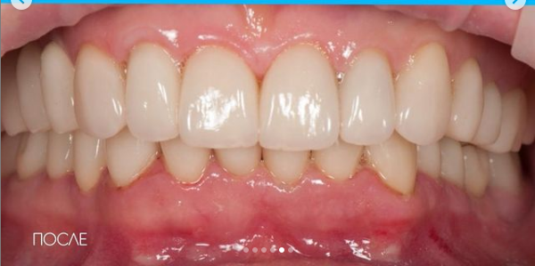
Установка керамической коронки

Доктор: Котиков Илья Сергеевич

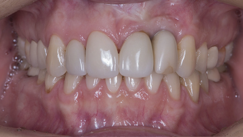
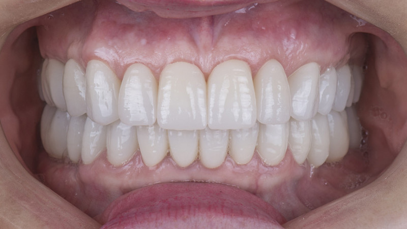
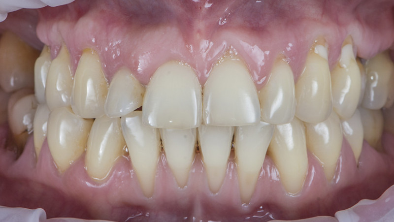
Установка металлокерамической коронки

Доктор: Котиков Илья Сергеевич

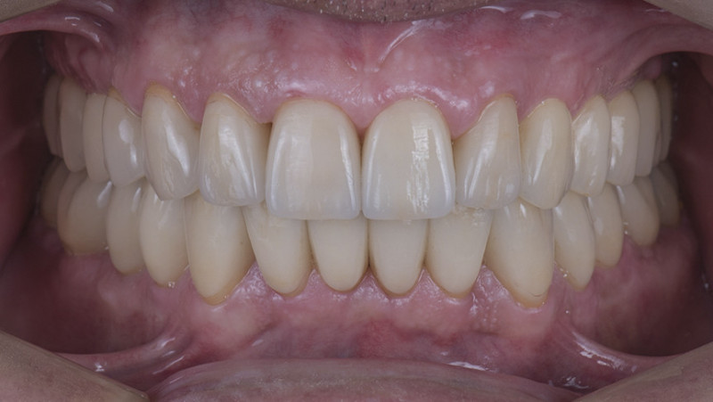
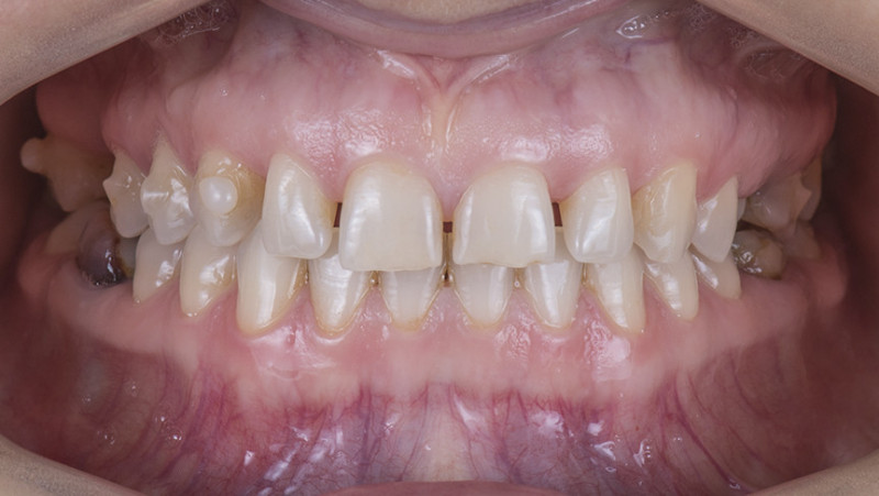
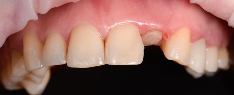
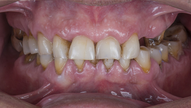
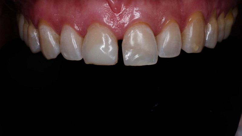
Установка керамической коронки

Доктор: Голубовский Александр Сергеевич

Все работы клиники
Стоматология ЦИФРА

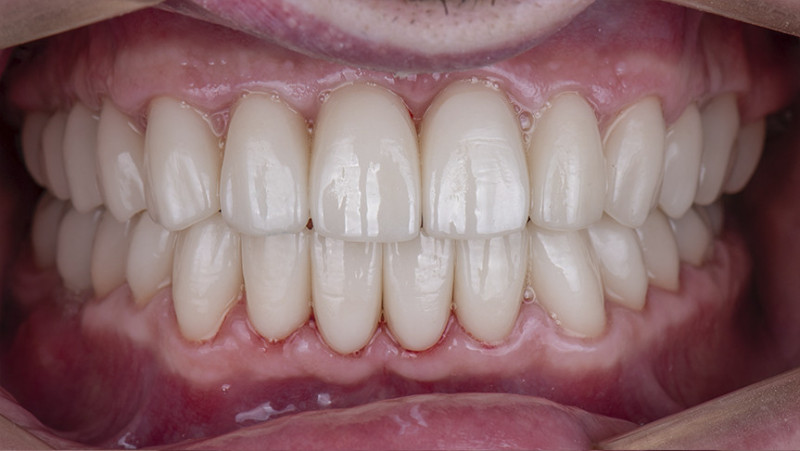
Установка коронки из диоксида циркония

Протезирование на свои зубы

Доктор: Новожилов Алексей Александрович

Установка коронки из диоксида циркония

Протезирование на свои зубы с помощью коронок из диоксида циркония и коронок ЕМАХ

Доктор: Новожилов Алексей Александрович

Все работы клиники
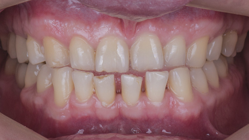
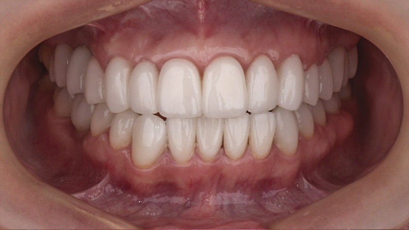
Стоматологическая клиника СЕЛЕБРИТИ КЛИНИК (CELEBRITY CLINIC)

Установка керамической коронки

Провели швейцарскую профгигиену. Перелечили зубы с несостоятельными пломбами. Провели имплантацию и протезирование керамическими коронками EMAX и эстетической реконструкцией винирами.

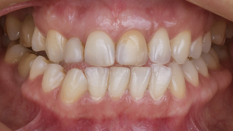
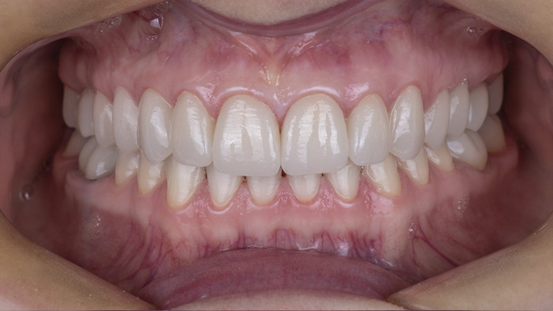
Установка керамической коронки

Изготовили и установили 22 керамические коронки EMAX и 6 виниров на нижнюю челюсть. Провели пластику десны в области 22 зуба. Устранили сильную рецессию десны в области имплантата, установленного в другой клинике.

Установка керамической коронки

Провели швейцарскую профгигиену. Перелечили зубы с несостоятельными пломбами и воспалениями. Провели имплантацию и протезирование керамическими коронками EMAX и эстетической реконструкцией винирами. Устранили сильные рецессии десен на верхней и нижней челюстях.

Установка керамической коронки

Провели швейцарскую профгигиену. Перелечили зубы с несостоятельными пломбами и воспалениями. Провели аутотрансплантацию в области 17 зуба. Установили имплантаты и временные коронки. После приживления имплантатов установили постоянные керамические коронки EMAX на зубной ряд нижней и верхней челюсти.

Установка коронки на зуб

Провели швейцарскую профгигиену. Перелечили зубы с несостоятельными пломбами и воспалениями. Удалили 7 зубов на верхней и нижней челюсти с одномоментной имплантацией 9 имплантатами, костной пластикой и пластикой десны. После приживления имплантатов установили временные коронки. Изготовили и установили абатменты Procera и 28 единиц керамических коронок EMAX.

Установка керамической коронки

Провели швейцарскую профгигиену. Перелечили зубы с несостоятельными пломбами. Провели имплантацию и протезирование керамическими коронками EMAX и эстетической реконструкцией винирами.

Установка коронки на зуб

Провели швейцарскую профгигиену. Перелечили зубы с несостоятельными пломбами и воспалениями. Удалили зубы в боковом отделе с одномоментной имплантацией и пластикой десны. Установили временные коронки. После приживления имплантатов установили постоянные коронки из диоксида циркония на зубной ряд нижней и верхней челюсти.

Установка керамической коронки

Провели швейцарскую профгигиену. Перелечили зубы с несостоятельными пломбами. Провели преображение улыбки с помощью керамических реставраций E-max

Установка металлокерамической коронки

Провели швейцарскую профгигиену. Перелечили зубы с несостоятельными пломбами и воспалениями. Провели имплантацию. На нижней челюсти провели отбеливание ZOOM. Установили керамические коронки EMAX на верхней челюсти в количестве 14 единиц и на нижней челюсти в области группы жевательных зубов.

Установка керамической коронки

Провели швейцарскую профгигиену. Перелечили зубы с несостоятельными пломбами. Спасли мягкие ткани в области имплантатов, установленных в другой клинике. Изготовили и установили 22 керамические коронки EMAX и 6 виниров на нижнюю челюсть.

Все работы клиники
Стоматология ИМПЕРИАЛ ДЕНТ

Установка коронки на зуб

Установка коронки на зуб

Установка коронки на зуб

Все работы клиники
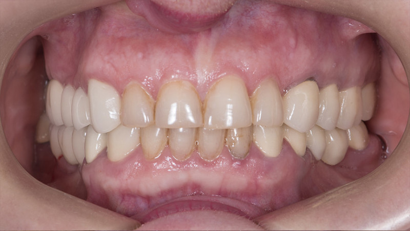
Центр профессиональной стоматологии и имплантации СТРОНГ ДЕНТ (STRONG DENT)

Установка металлокерамической коронки

Доктор: Полянская Светлана Константиновна

Установка металлокерамической коронки

Доктор: Полянская Светлана Константиновна

Все работы клиники
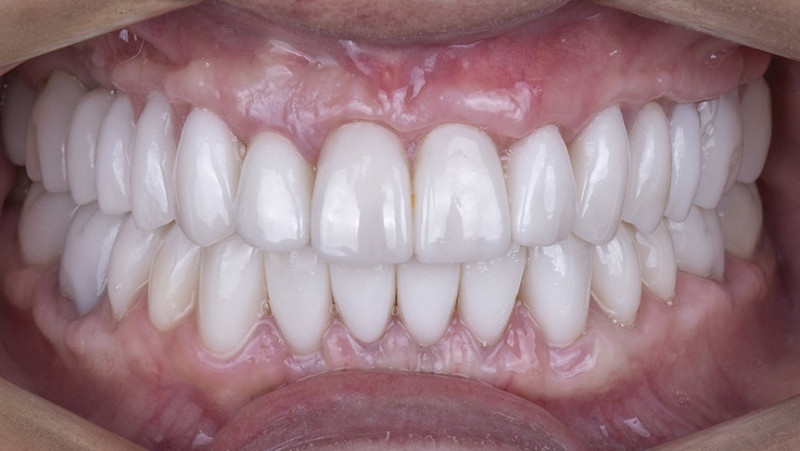
Авторская стоматология Антона Серова ЭЙС КЛИНИК (ACE CLINIC)

Установка керамической коронки

Все зубы покрыли керамическими винирами и коронками. Установили коронки на имплантаты.

Установка керамической коронки

Установка керамических коронок на зубах и имплантатах.

Все работы клиники
Центр функциональной стоматологии МОКОС

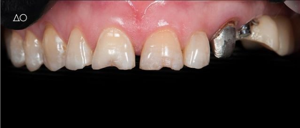
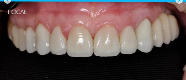
Установка керамической коронки

Протезирование зуба 12 керамической коронкой @po_makedonsky спасибо за работу

Доктор: Капитонова Екатерина Андреевна

Все работы клиники
Медицинский центр ТОНУС ПРЕМИУМ

Установка керамической коронки

Доктор: Голубовский Александр Сергеевич

Все работы клиники