Стоматолог Пузырев Денис Олегович — цены, отзывы, стаж — Принимает в Новосибирске

Пузырев Денис Олегович

Пузырев Денис Олегович - фотография
стоматолог-ортодонт
гнатолог
Стаж 9 лет
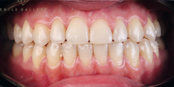
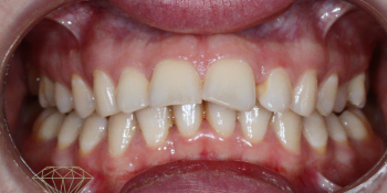
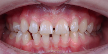
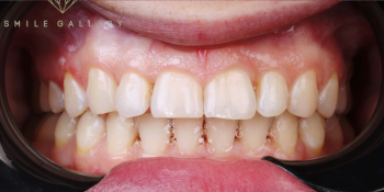
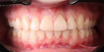
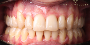
Пузырев Денис Олегович принимает в «Стоматологическая клиника СМАЙЛ ГАЛЛЕРИ» в Новосибирске. Стаж 9 лет. Специализируется на ортодонтии и гнатологии, по которым клиника оказывает 10 услуг. Имеет 6 работ до/после в портфолио. Для уточнения дополнительной информации о специалисте или записи на прием можно позвонить по телефону
+7 (383)Показать телефон
. Также 32top представляет форму онлайн расписания, через которую можно записаться к специалисту на свободную дату и время.

Где принимает:

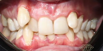
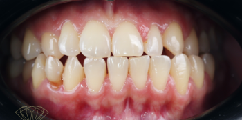
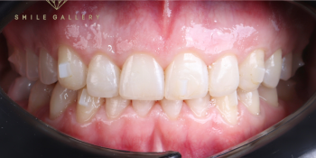
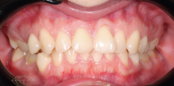
6 работ в портфолио
Опыт 9 лет

О стоматологе

Навыки: Профессиональная гигиена полости рта; Отбеливание зубов; Анализ 3d-конусно-лучевой компьютерной томографии; Составление комплексных планов лечения; Исправление зубо-челюстных аномалий (скученность, сужение зубных рядов, неправильный прикус), предортопедическая подготовка; 3D-цефалометрия; Лигатурные и самолигирующиеся системы брекетов; Миография; Гнатологическая диагностика. Проведение лечения на элайнерах

Пузырев Денис Олегович: портфолио (6)

    Помогите другим сделать правильный выбор — оставьте свой отзыв о докторе
    Написать отзыв

    Услуги стоматолога в других клиниках

    Ортодонтия
    Установка брекетов от 18 000 ₽ до 110 880 ₽
    Снятие брекетов от 4 500 ₽ до 34 700 ₽
    Еще услуги