Стоматолог Смирнова Яна Вадимовна — цены, отзывы, стаж — Принимает в Новосибирске

Смирнова Яна Вадимовна

Смирнова Яна Вадимовна - фотография
стоматолог-ортодонт
гнатолог
Стаж 15 лет
Смирнова Яна Вадимовна принимает в «Стоматологическая клиника СМАЙЛ ГАЛЛЕРИ» в Новосибирске. Стаж 15 лет. Специализируется на ортодонтии и гнатологии, по которым клиника оказывает 10 услуг. Имеет 4 работы до/после в портфолио. Для уточнения дополнительной информации о специалисте или записи на прием можно позвонить по телефону
+7 (383)Показать телефон
. Также 32top представляет форму онлайн расписания, через которую можно записаться к специалисту на свободную дату и время.

Где принимает:

Опыт 15 лет
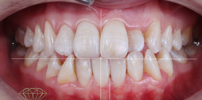
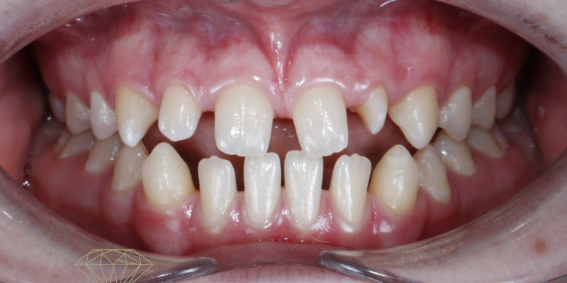
4 работы в портфолио

О стоматологе

Навыки: Использует в работе: Съёмные и несъёмные ортодонтические конструкции ДЛЯ ВЗРОСЛЫХ И ДЕТЕЙ; Лигатурные и самолигирующиеся системы брекетов; 3D-цефалометрию и конусно-лучевую компьютерную томографию; Систему элайнеров (прозрачных капп) для коррекции положения зубов; Концепт окклюзионной плоскости проф. Садао Сато; Эстетический концепт проф. Томаса Питтса.

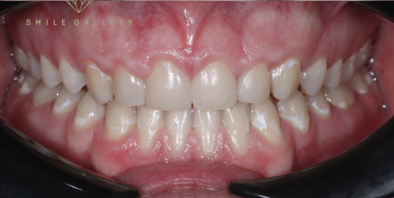
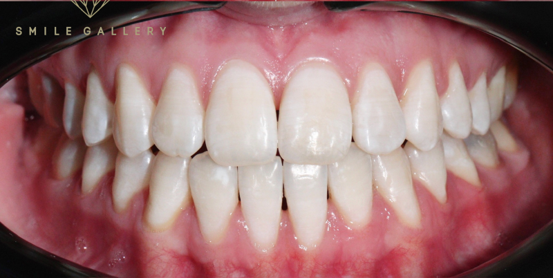
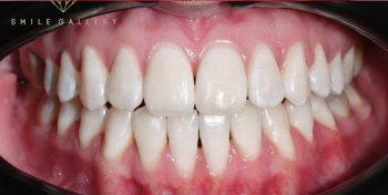
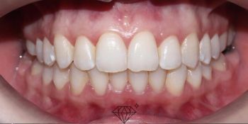
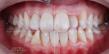
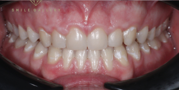
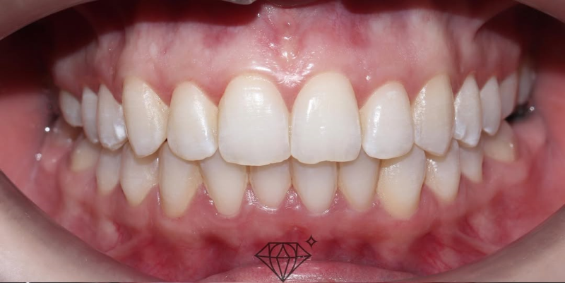
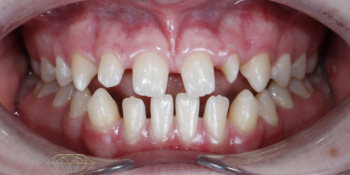
Смирнова Яна Вадимовна: портфолио (4)

    Помогите другим сделать правильный выбор — оставьте свой отзыв о докторе
    Написать отзыв

    Услуги стоматолога в других клиниках

    Ортодонтия
    Установка брекетов от 18 000 ₽ до 110 880 ₽
    Снятие брекетов от 4 500 ₽ до 34 700 ₽
    Еще услуги