Стоматолог Королев Александр Александрович — цены, отзывы, стаж — Принимает в Новосибирске

Королев Александр Александрович

Королев Александр Александрович - фотография
стоматолог-ортопед
гнатолог
Стаж 9 лет
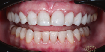
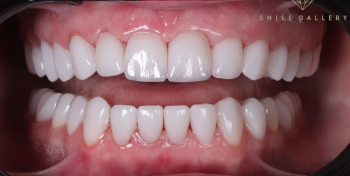
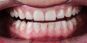
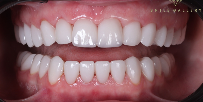
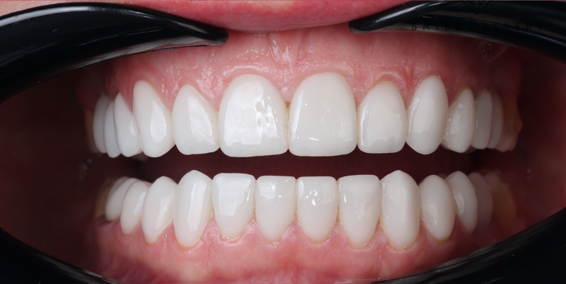
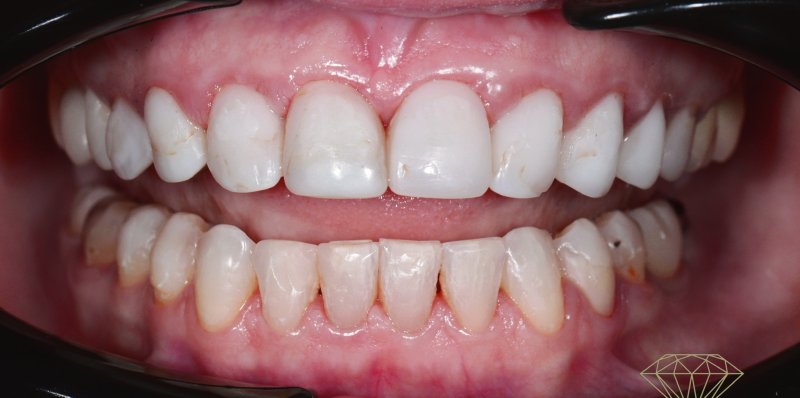
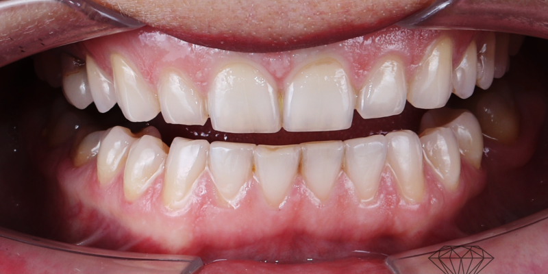
Королев Александр Александрович принимает в «Стоматологическая клиника СМАЙЛ ГАЛЛЕРИ» в Новосибирске. Стаж 9 лет. Специализируется на ортопедии и гнатологии, по которым клиника оказывает 16 услуг. Имеет 3 работы до/после в портфолио. Для уточнения дополнительной информации о специалисте или записи на прием можно позвонить по телефону
+7 (383)Показать телефон
. Также 32top представляет форму онлайн расписания, через которую можно записаться к специалисту на свободную дату и время.

Где принимает:

Опыт 9 лет
3 работы в портфолио

О стоматологе

Навыки: Микропротезирование (вкладки, накладки); Протезирование на имплантатах любой сложности; Керамические и композитные виниры, люминиры; Конструктор улыбок Smile Design; Профессиональная гигиена полости рта; Отбеливание зубов; Анализ 3D-конусно-лучевой компьютерной томографии; Составление комплексных планов лечения; Лечение кариеса.

Королев Александр Александрович: портфолио (3)

    Помогите другим сделать правильный выбор — оставьте свой отзыв о докторе
    Написать отзыв

    Услуги стоматолога в других клиниках

    Протезирование зубов
    Установка коронки на зуб от 5 500 ₽ до 62 000 ₽
    Виды протезов
    Еще услуги