Стоматолог Кальяк Мария Анатольевна — цены, отзывы, стаж — Принимает в Новосибирске

Кальяк Мария Анатольевна

Кальяк Мария Анатольевна - фотография
стоматолог-гигиенист
Стаж 19 лет
Кальяк Мария Анатольевна принимает в «Центр стоматологии НЕБОЛЬСИН» в Новосибирске. Стаж 19 лет. Специализируется на гигиене полости рта, по которой клиника оказывает 7 услуг. Имеет 5 работ до/после в портфолио. Квалификация специалиста подтверждена 6 лицензиями, сертификатами и наградами. Для уточнения дополнительной информации о специалисте или записи на прием можно позвонить по телефону
+7 (383)Показать телефон
.

Где принимает:

Опыт 19 лет
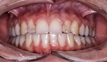
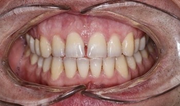
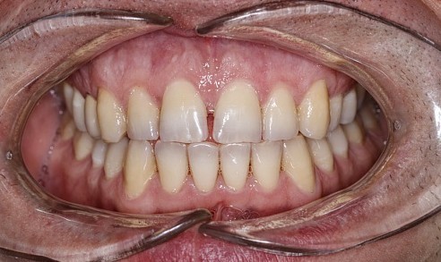
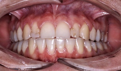
5 работ в портфолио
6 сертификатов

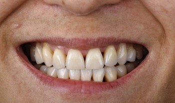
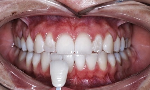
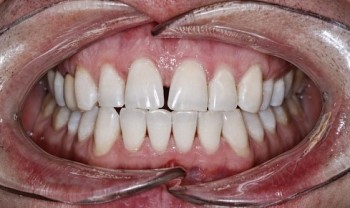
Кальяк Мария Анатольевна: портфолио (5)

    Помогите другим сделать правильный выбор — оставьте свой отзыв о докторе
    Написать отзыв

    Услуги стоматолога в других клиниках

    Профгигиена
    Чистка зубов Air-flow от 1 000 ₽ до 9 500 ₽
    Восстановление эмали зубов от 100 ₽ до 7 000 ₽
    Еще услуги