Стоматолог Гайворонская Алина Михайловна — цены, отзывы, стаж — Принимает в Новосибирске

Гайворонская Алина Михайловна

Гайворонская Алина Михайловна - фотография
стоматолог-хирург
пародонтолог
Стаж 9 лет
Гайворонская Алина Михайловна принимает в «Стоматологическая клиника КЛАССИК-ДЕНТ» в Новосибирске. Стаж 9 лет. Специализируется на хирургии и пародонтологии, по которым клиника оказывает 13 услуг. Имеет 2 работы до/после в портфолио. Для уточнения дополнительной информации о специалисте или записи на прием можно позвонить по телефону
+7 (383)Показать телефон
.

Где принимает:

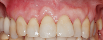
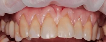
2 работы в портфолио
Опыт 9 лет

О стоматологе

Алина Михайловна работает стоматологом с 2010 года, прошла все ступени – от ассистента до главного врача. Долгое время занималась терапевтической стоматологией, но с 2013 года она – стоматолог-пародонтолог. В стоматологии «SkyDent» Алина Михайловна помогает нашим пациентам сохранить здоровье дёсен. Наш квалифицированный пародонтолог берётся за самые сложные случаи и побеждает заболевания дёсен.

Гайворонская Алина Михайловна: портфолио (2)

Отзывы о враче Гайворонская Алина Михайловна

Почему нашим отзывам можно доверять?
29 августа 2020 г.
1 2 3 4 5
Замечательный доктор, очень мне помогла. Я была у нескольких докторов, каждый из которых был уважаемым и достойным человеком, но с моей проблемой мне помог именно этот доктор. Ее рекомендации + приемы помогли мне убрать воспаление на деснах, когда я уже не знала, что и делать, а сделала я, до встречи с этим доктором, много. Алина Михайловна - очень доброжелательный открытый человек и настоящий профессионал. Думаю, что в этом докторе собрано все самое лучшее из тех качеств, из-за которых выбирают врача именно женщину. Удивительно, но сколько раз я была у Алины Михайловны, у нее всегда хорошее настроение, а лучше сказать, приподнятое состояние духа, я думаю, она очень любит свои работу. У меня к Алине Михайловне большая благодарность и пожелание долгих лет в такой нужной профессии.
    Помогите другим сделать правильный выбор — оставьте свой отзыв о докторе
    Написать отзыв

    Услуги стоматолога в других клиниках

    Пародонтология
    Лечение пародонтита от 450 ₽ до 8 000 ₽
    Лечение пародонтоза от 1 800 ₽ до 8 000 ₽
    Еще услуги
    Хирургическая стоматология
    Удаление зубов от 1 500 ₽ до 19 000 ₽
    Удаление кисты и гранулемы зуба от 914 ₽ до 15 000 ₽
    Еще услуги