Стоматолог Козак Сергей Ярославович — цены, отзывы, стаж — Принимает в Новосибирске

Козак Сергей Ярославович

Козак Сергей Ярославович - фотография
стоматолог-ортопед
Стаж 21 год
Козак Сергей Ярославович принимает в «Немецкая стоматология РЕКОМЕНДЕНТ» в Новосибирске. Стаж 21 год. Специализируется на ортопедии, по которой клиника оказывает 16 услуг. Имеет 3 работы до/после в портфолио. Для уточнения дополнительной информации о специалисте или записи на прием можно позвонить по телефону
+7 (383)Показать телефон
.

Где принимает:

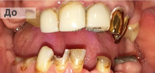
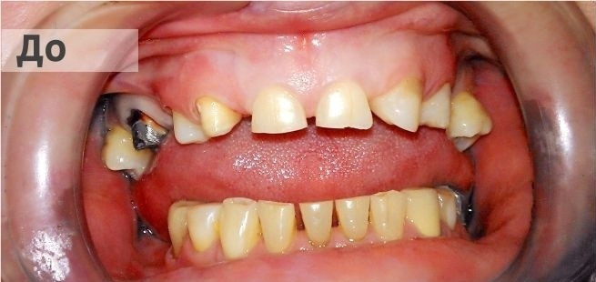
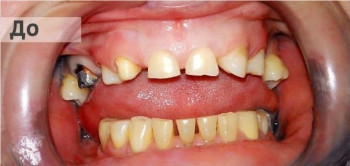
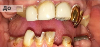
3 работы в портфолио
Опыт 21 год

О стоматологе

Сергей Ярославович может помочь пациенту с любой проблемой – от полного или частичного отсутствия зубов до кардинальных перемен от пожелтевших зубов к голливудской улыбке. Любые дефекты твердых тканей зубов, аномалии положения зубов, повышенная стираемость зубов – все эти неприятности не раз преодолевал в своей, более чем 16-и летней практике, Сергей Ярославович.
Помимо высоко профессионализма Сергей Ярославович отличается непередаваемым вдохновением в своей работе! Он стремится выстраивать максимально доверительные отношения с пациентами и максимально их проинформировать обо всех нюансах предстоящих процедур! Множество пациентов выстраиваются в очередь к этому врачу, зная о его отзывчивости, неравнодушию к проблемам пациента и поистине волшебных руках!

Козак Сергей Ярославович: портфолио (3)

Отзывы о враче Козак Сергей Ярославович

Почему нашим отзывам можно доверять?
19 декабря 2017 г.
1 2 3 4 5
Подготовкой моего рта к протезированию занималась Брега Ирина Николаевна, а протезировал Козак Сергей Ярославович. Очень остался доволен их совместной работой. Хочется сказать слова благодарности всем, кто принимал участие в этом процессе. Прекрасная клиника, новейшее оборудование и очень позитивные и профессиональные сотрудники! Спасибо Вам огромное!
    Помогите другим сделать правильный выбор — оставьте свой отзыв о докторе
    Написать отзыв

    Услуги стоматолога в других клиниках

    Эстетическая стоматология
    Установка виниров от 30 000 ₽ до 80 000 ₽
    Протезирование зубов
    Установка коронки на зуб от 5 500 ₽ до 62 000 ₽
    Виды протезов
    Еще услуги