Стоматолог Бурнистова (Васюнова) Екатерина Дмитриевна — цены, отзывы, стаж — Принимает в Новосибирске

Бурнистова (Васюнова) Екатерина Дмитриевна

Бурнистова (Васюнова) Екатерина Дмитриевна - фотография
детский стоматолог
Стаж 10 лет
Бурнистова (Васюнова) Екатерина Дмитриевна принимает в «Немецкая стоматология РЕКОМЕНДЕНТ» в Новосибирске. Стаж 10 лет. Специализируется на детской стоматологии, по которой клиника оказывает 4 услуги. Имеет 4 работы до/после в портфолио. Для уточнения дополнительной информации о специалисте или записи на прием можно позвонить по телефону
+7 (383)Показать телефон
.

Где принимает:

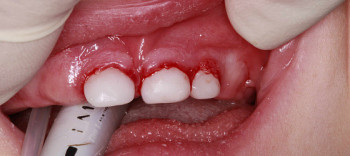
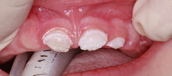
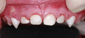
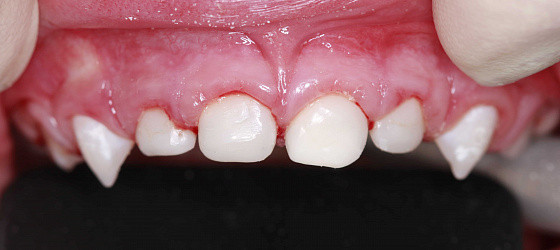
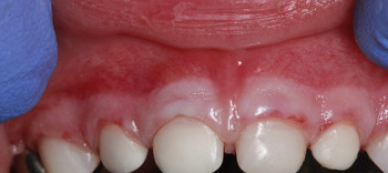
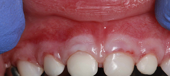
4 работы в портфолио
Опыт 10 лет

Другие специалисты

Услуги в других клиниках

Наименование услуги Цена по городу
Детская стоматология
Удаление зубов у детей
от 550 ₽ до 7 000 ₽
(100 клиник)
Серебрение молочных зубов
от 288 ₽ до 600 ₽
(19 клиник)
Еще услуги

Бурнистова (Васюнова) Екатерина Дмитриевна: портфолио (4)

    Помогите другим сделать правильный выбор — оставьте свой отзыв о докторе
    Написать отзыв