Стоматолог Карачинцева Наталья Валерьевна — цены, отзывы, стаж — Принимает в Новосибирске

Карачинцева Наталья Валерьевна

Карачинцева Наталья Валерьевна - фотография
стоматолог-терапевт
Стаж 37 лет
врач высшей категории, главный врач
Карачинцева Наталья Валерьевна принимает в «Стоматологическая клиника ТРИУМФ» в Новосибирске. Главный врач, врач высшей категории, стаж 37 лет. Специализируется на терапии, по которой клиника оказывает 11 услуг. Для уточнения дополнительной информации о специалисте или записи на прием можно позвонить по телефону
+7 (923)Показать телефон
.

Где принимает:

1 работа в портфолио
Главный врач
Опыт 37 лет
Врач высшей категории

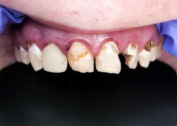
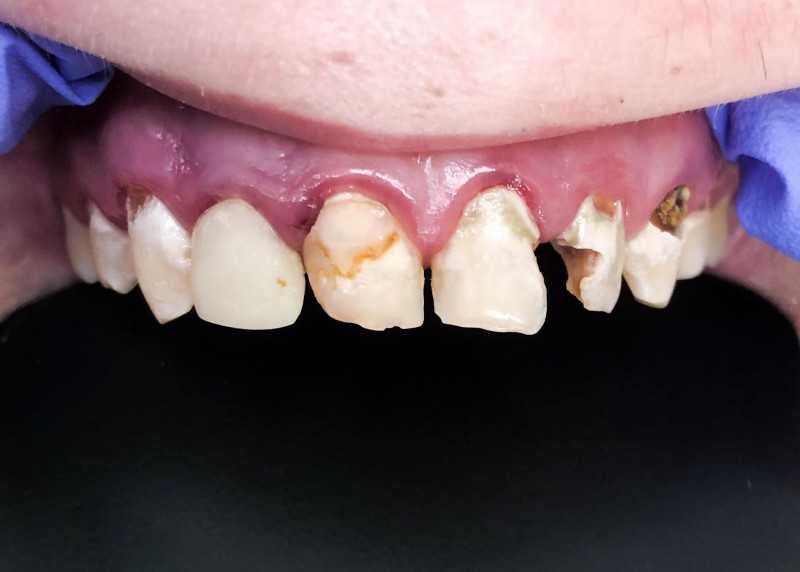
Карачинцева Наталья Валерьевна: портфолио (1)

    Помогите другим сделать правильный выбор — оставьте свой отзыв о докторе
    Написать отзыв

    Услуги стоматолога в других клиниках

    Терапевтическая стоматология
    Лечение кариеса от 3 500 ₽ до 12 500 ₽
    Лечение пульпита от 5 100 ₽ до 35 000 ₽
    Еще услуги