Стоматолог Ефремов Василий Дмитриевич — цены, отзывы, стаж — Принимает в Новосибирске

Ефремов Василий Дмитриевич

Ефремов Василий Дмитриевич - фотография
стоматолог-ортодонт
Стаж 4 года
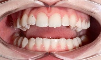
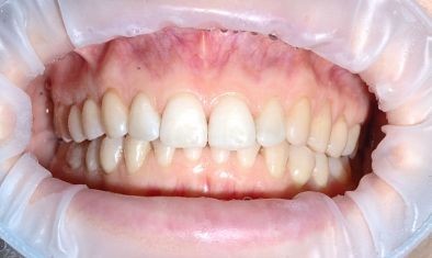
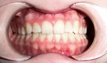
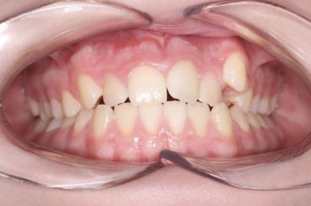
Ефремов Василий Дмитриевич принимает в «СТОМАТОЛОГИЯ ДОКТОРА БРАГИНА» в Новосибирске. Стаж 4 года. Специализируется на ортодонтии, по которой клиника оказывает 9 услуг. Имеет 5 работ до/после в портфолио. Квалификация специалиста подтверждена 3 лицензиями, сертификатами и наградами. Для уточнения дополнительной информации о специалисте или записи на прием можно позвонить по телефону
+7 (913)Показать телефон
.

Где принимает:

3 сертификата
5 работ в портфолио
Опыт 4 года

Ефремов Василий Дмитриевич: портфолио (5)

    Помогите другим сделать правильный выбор — оставьте свой отзыв о докторе
    Написать отзыв

    Услуги стоматолога в других клиниках

    Ортодонтия
    Установка брекетов от 18 000 ₽ до 110 880 ₽
    Снятие брекетов от 4 500 ₽ до 34 700 ₽
    Еще услуги