Стоматолог Чиковани Алина Владимировна — цены, отзывы, стаж — Принимает в Новокузнецке

Чиковани Алина Владимировна

Чиковани Алина Владимировна - фотография
детский стоматолог
Стаж 11 лет
Чиковани Алина Владимировна принимает в «Детская стоматология ЧУДЕНТИКА» в Новокузнецке. Стаж 11 лет. Специализируется на детской стоматологии, по которой клиника оказывает 12 услуг. Имеет 2 работы до/после в портфолио. Квалификация специалиста подтверждена 23 лицензиями, сертификатами и наградами. Для уточнения дополнительной информации о специалисте или записи на прием можно позвонить по телефону
+7 (3843)Показать телефон
.

Где принимает:

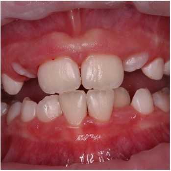
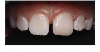
2 работы в портфолио
23 сертификата
Опыт 11 лет

Награды

  • 2021 год — 1 место в народном рейтинге портала Продокторов.

О стоматологе

Алина Владимировна мечтает о мире, в котором все будут знать о необходимости и важности сохранения молочных зубов здоровыми! Виртуозно выполняет лечение множественного кариеса под наркозом, восстанавливая зубки, которые, казалось бы, невозможно спасти. Считает, что лечение с седацией — прекрасный инструмент, помогающий и родителям и стоматологу оградить ребёнка от стресса, спокойно полечить зубки, и в будущем вырастить поколение пациентов, которые не будут дрожать от страха при мысли о стоматологе. Алина Владимировна считает, что нет предела совершенству, поэтому собирается учиться стоматологии до выхода на пенсию.

Чиковани Алина Владимировна: портфолио (2)

Отзывы о враче Чиковани Алина Владимировна

Почему нашим отзывам можно доверять?
16 февраля 2022 г.
1 2 3 4 5
Лечили малышу зубки у доктора Ждановой Алины. Хочется сказать, что таких детских докторов очень мало! Ребёнок спокойно идёт на лечение, знает, что больно не будет, а это дорогого стоит...
Добрый день! Спасибо за замечательный отзыв для Алины Владимировны! Счастливые ребёнок со здоровым зубками — это настоящая радость! Алина Владимировна — прекрасный детский стоматолог! Нашим врачам очень важно не только полечить зубки ребёнку, но и не нанести при этом психологическую травму! Обязательно передадим ваши слова Алине Владимировне! Здоровья всей вашей семье!
    Помогите другим сделать правильный выбор — оставьте свой отзыв о докторе
    Написать отзыв

    Услуги стоматолога в других клиниках

    Диагностика
    Консультация стоматолога от 424 ₽ до 1 500 ₽
    Консультация стоматолога-ортопеда от 500 ₽ до 1 250 ₽
    Еще услуги
    Терапевтическая стоматология
    Лечение кариеса от 3 600 ₽ до 12 500 ₽