Стоматолог Корчемная Ольга Сергеевна — цены, отзывы, стаж — Принимает в Новокузнецке

Корчемная Ольга Сергеевна

Корчемная Ольга Сергеевна - фотография
стоматолог-ортодонт
Стаж 19 лет
к.м.н., врач высшей категории
Корчемная Ольга Сергеевна принимает в «Стоматология ОРТО-ПРЕМЬЕР» в Новокузнецке. К.м.н., врач высшей категории, стаж 19 лет. Специализируется на ортодонтии, по которой клиника оказывает 14 услуг. Имеет 6 работ до/после в портфолио. Для уточнения дополнительной информации о специалисте или записи на прием можно позвонить по телефону
+7 (3843)Показать телефон
.

Где принимает:

Врач высшей категории
6 работ в портфолио
Опыт 19 лет
Кандидат мед.наук

О стоматологе

Кандидат медицинских наук, доцент кафедры стоматологии ортопедической и ортодонтии Новокузнецкого института усовершенствования врачей. Врач высшей квалификационной категории. Выпускник Кемеровской медицинской академии 2006 года.

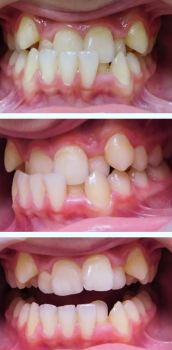
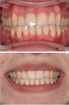
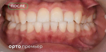
Корчемная Ольга Сергеевна: портфолио (6)

Отзывы о враче Корчемная Ольга Сергеевна

Почему нашим отзывам можно доверять?
После приема Пациент записывался в клинику через 32top. После приёма мы позвонили ему и получили отзыв.
8 апреля 2024 г.
1 2 3 4 5
Мы решили обратиться в эту стоматологическую клинику для изготовления брекетов для дочери, и выбрали доктора Корчемную Ольгу Сергеевну. Мы пришли к этому выбору на основании положительных отзывов о её работе, и мы не пожалели о своем решении. Перед началом всех процедур нам сделали 3D снимки, сняли слепки - в общем, начали с подготовительных процедур. Всё прошло гладко и без проблем. В клинике царит приятная обстановка. Однако мы столкнулись с некоторыми проблемами с записью. Нас несколько раз перезаписывали, дата и время периодически ""съезжали"". Но, несмотря на всё это, в остальном всё было в порядке. В целом, мы очень довольны выбором доктора Корчемной Ольги Сергеевны. Она профессионал своего дела, и мы уверены, что наша дочь находится в надежных руках. Мы ожидаем отличных результатов от работы доктора и рекомендуем её как компетентного и грамотного специалиста в области ортодонтии.
    Помогите другим сделать правильный выбор — оставьте свой отзыв о докторе
    Написать отзыв

    Услуги стоматолога в других клиниках

    Диагностика
    Консультация стоматолога от 424 ₽ до 1 500 ₽
    Консультация стоматолога-ортопеда от 500 ₽ до 1 250 ₽
    Еще услуги
    Ортодонтия
    Виды брекетов по материалу
    Установка металлических брекетов
    от 55 000 ₽ до 72 000 ₽
    Еще услуги