Стоматолог Штейнке Элла Александровна — цены, отзывы, стаж — Принимает в Омске

Штейнке Элла Александровна

Штейнке Элла Александровна - фотография
стоматолог-терапевт
пародонтолог
стоматолог-эндодонтист
Стаж 3 года
Штейнке Элла Александровна принимает в «СТОМАТОЛОГИЯ ПРОФЕССОРА БОКОЙ» в Омске. Стаж 3 года. Специализируется на терапии, пародонтологии и эндодонтическом лечении, по которым клиника оказывает 21 услугу. Имеет 12 работ до/после в портфолио. Для уточнения дополнительной информации о специалисте или записи на прием можно позвонить по телефону
+7 (3812)Показать телефон
. Также 32top представляет форму онлайн расписания, через которую можно записаться к специалисту на свободную дату и время.

Где принимает:

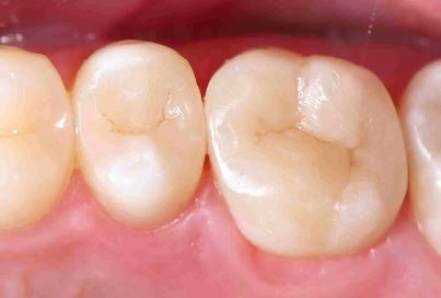
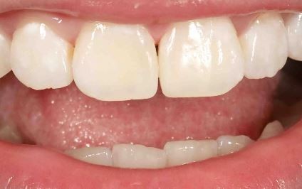
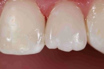
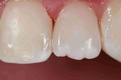
12 работ в портфолио
Опыт 3 года
1 сертификат
    Помогите другим сделать правильный выбор — оставьте свой отзыв о докторе
    Написать отзыв

    Услуги врача (44)

    Терапевтическая стоматология
    Лечение кариеса
    от 12 000 ₽ за 1 зуб
    Лечение кариеса ICON
    Лечение поверхностного кариеса
    Еще услуги
    Пародонтология
    Лечение пародонтита
    Лечение пародонтоза
    Лечение аппаратом Вектор
    от 1 100 ₽ в области 1 зуба
    Еще услуги
    Все цены носят ознакомительный характер. Точную цену вы сможете получить только после консультации специалиста.
    Звоните по телефону:
    +7 (3812)Показать телефон

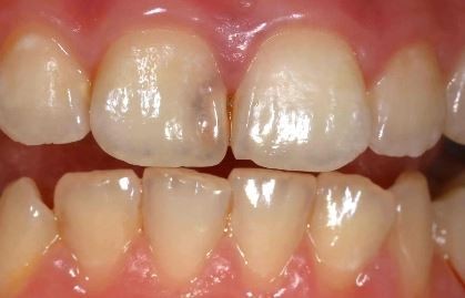
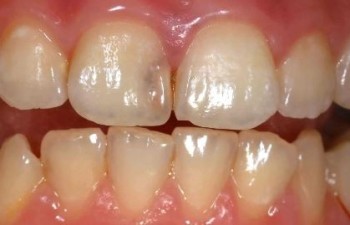
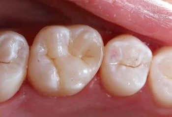
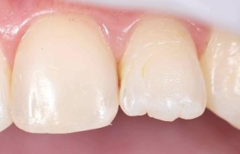
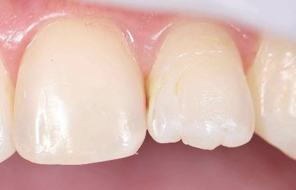
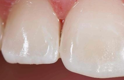
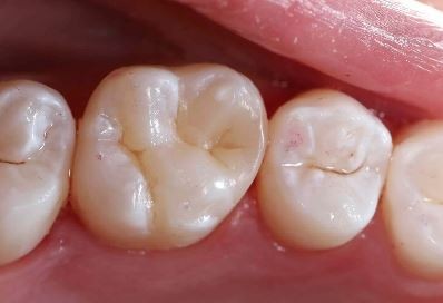
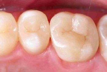
    Штейнке Элла Александровна: портфолио (12)

    Акции и скидки клиники СТОМАТОЛОГИЯ ПРОФЕССОРА БОКОЙ (5)