Стоматолог Смирнова Людмила Игоревна — цены, отзывы, стаж — Принимает в Омске

Смирнова Людмила Игоревна

Смирнова Людмила Игоревна - фотография
стоматолог-терапевт
стоматолог-гигиенист
Стаж 18 лет
Смирнова Людмила Игоревна принимает в «Стоматологическая клиника ДОКТОР ДЕНТ» в Омске. Стаж 18 лет. Специализируется на терапии и гигиене полости рта, по которым клиника оказывает 9 услуг. Имеет 4 работы до/после в портфолио. Для уточнения дополнительной информации о специалисте или записи на прием можно позвонить по телефону
+7 (3812)Показать телефон
.

Где принимает:

Опыт 18 лет
4 работы в портфолио

Отзывы о враче Смирнова Людмила Игоревна

Почему нашим отзывам можно доверять?
17 сентября 2018 г.
1 2 3 4 5
Классный тетка, лечит хорошо, веселая , работу свою знает , неудобств и боли не доставляет . Единственное торопится суетится а так все хорошо , рекомендую !
    Помогите другим сделать правильный выбор — оставьте свой отзыв о докторе
    Написать отзыв

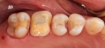
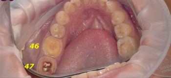
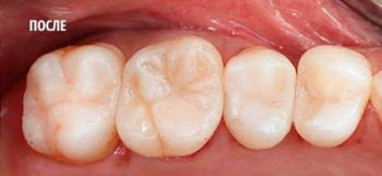
    Смирнова Людмила Игоревна: портфолио (4)

    Услуги стоматолога в других клиниках

    Терапевтическая стоматология
    Лечение кариеса от 3 500 ₽ до 12 750 ₽
    Лечение пульпита от 5 000 ₽ до 24 750 ₽
    Еще услуги
    Профгигиена
    Чистка зубов Air-flow от 2 650 ₽ до 7 100 ₽
    Фторирование зубов от 190 ₽ до 5 250 ₽
    Еще услуги