Стоматолог Панова Ольга Витальевна — цены, отзывы, стаж — Принимает в Омске

Панова Ольга Витальевна

Панова Ольга Витальевна - фотография
стоматолог-терапевт
Стаж 16 лет
Панова Ольга Витальевна принимает в «Стоматология КОСМОСТОМ» в Омске. Стаж 16 лет. Специализируется на терапии, по которой клиника оказывает 21 услугу. Имеет 6 работ до/после в портфолио. Квалификация специалиста подтверждена 16 лицензиями, сертификатами и наградами. Для уточнения дополнительной информации о специалисте или записи на прием можно позвонить по телефону
+7 (3812)Показать телефон
.

Где принимает:

16 сертификатов
Опыт 16 лет
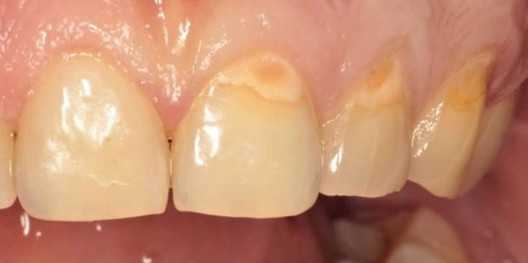
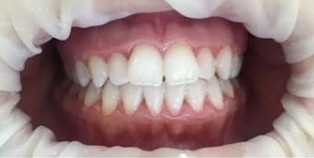
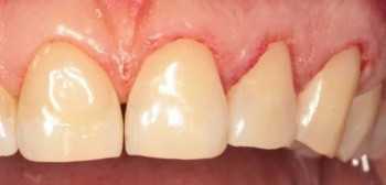
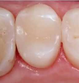
6 работ в портфолио

Отзывы о враче Панова Ольга Витальевна

Почему нашим отзывам можно доверять?
1 мая 2019 г.
1 2 3 4 5
Большое спасибо Пановой Ольге Витальевне за внимательное отношение и высокий профессионализм.
    Помогите другим сделать правильный выбор — оставьте свой отзыв о докторе
    Написать отзыв

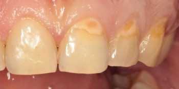
    Панова Ольга Витальевна: портфолио (6)

    Услуги стоматолога в других клиниках

    Терапевтическая стоматология
    Лечение кариеса от 3 500 ₽ до 12 750 ₽
    Лечение пульпита от 5 000 ₽ до 24 750 ₽
    Еще услуги