Стоматолог Курбатова Юлия Викторовна — цены, отзывы, стаж — Принимает в Омске

Курбатова Юлия Викторовна

Курбатова Юлия Викторовна - фотография
стоматолог-ортодонт
Стаж 11 лет
Курбатова Юлия Викторовна принимает в «Стоматология КОСМОСТОМ» в Омске. Стаж 11 лет. Специализируется на ортодонтии, по которой клиника оказывает 10 услуг. Имеет 5 работ до/после в портфолио. Квалификация специалиста подтверждена 11 лицензиями, сертификатами и наградами. Для уточнения дополнительной информации о специалисте или записи на прием можно позвонить по телефону
+7 (3812)Показать телефон
. Также 32top представляет форму онлайн расписания, через которую можно записаться к специалисту на свободную дату и время.

Где принимает:

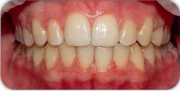
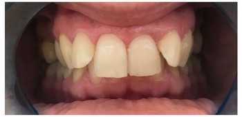
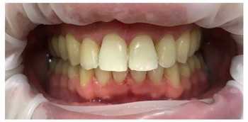
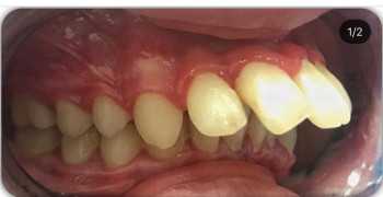
5 работ в портфолио
Опыт 11 лет
11 сертификатов
    Помогите другим сделать правильный выбор — оставьте свой отзыв о докторе
    Написать отзыв

    Услуги врача (19)

    Ортодонтия
    Установка брекетов
    от 16 870 ₽ до 55 770 ₽ за 1 челюсть
    Снятие брекетов
    Установка элайнеров
    от 23 100 ₽ до 158 510 ₽ на 1 челюсть
    Еще услуги
    Все цены носят ознакомительный характер. Точную цену вы сможете получить только после консультации специалиста.
    Звоните по телефону:
    +7 (3812)Показать телефон

    О стоматологе

    Принимает пациентов с нарушением прикуса, глотания, речи.

    Курбатова Юлия Викторовна: портфолио (5)

    Акции и скидки клиники КОСМОСТОМ (10)